相关产品推荐更多 >
万千商家帮你免费找货
0 人在求购买到急需产品
- 详细信息
- 文献和实验
- 技术资料
- 免疫原:
The antiserum was produced against synthesized peptide derived from human STAT3 (672-721).
- 亚型:
IgG
- 形态:
Liquid
- 保存条件:
Store as concentrated solution. Centrifuge briefly prior to opening vial. For short-term storage (1-2 weeks), store at 4ºC. For long-term storage, aliquot and store at -20ºC or below. Avoid multiple freeze-thaw cycles.
- 克隆性:
Polyclonal
- 标记物:
Unconjugated
- 适应物种:
Human
- 保质期:
12 months from the shipping date of the product.
- 抗原来源:
Human
- 目录编号:
GTX86741
- 级别:
Primary Antibodies
- 库存:
Available
- 供应商:
GeneTex
- 宿主:
Rabbit
- 应用范围:
WB, IHC-P
- 浓度:
Batch dependent (Please refer to the vial label for the specific concentration.)
- 靶点:
STAT3 (phospho Tyr705)
- 抗体英文名:
STAT3 (phospho Tyr705) antibody
- 抗体名:
STAT3 (phospho Tyr705) 抗体
- 规格:
100 μg
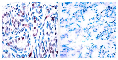
IHC-P analysis of human breast carcinoma tissue using GTX86741 STAT3 (phospho Tyr705) antibody. The picture on the right is blocked with the synthesized peptide.
WB analysis of HeLa cell lysates using GTX86741 STAT3 (phospho Tyr705) antibody. The lane on the right is blocked with the synthesized peptide.
风险提示:丁香通仅作为第三方平台,为商家信息发布提供平台空间。用户咨询产品时请注意保护个人信息及财产安全,合理判断,谨慎选购商品,商家和用户对交易行为负责。对于医疗器械类产品,请先查证核实企业经营资质和医疗器械产品注册证情况。
文献和实验liudengchang 大家好,有谁用过Bioworld Technology 生产的p-STAT3 (Y705) antibody 或p-STAT3 (S727) antibody 做Western和免疫细胞化学效果怎样?谢谢 磷酸化抗体 您好,我公司有p-STAT3 (Y705)抗体,请看下面链接: http://www.zkbiotech.com/products_show.asp?id=126 联系
欢迎一起讨论。 mrpanh mTOR抑制剂FDA已经批了两个药了,依维莫司什么的。看FDA的申报资料应该可以知道老美做了什么通路的机制研究。 京都小丸子 zfv2007 同意你的观点,不过现也有文献报道stat3 tyr705的活性和mTOR有关 ,Jianhui Ma等提出mTOR通过STAT3/p63/jagged/notch途径调节鼠源及人源细胞的分化;当然还有其他的相关报道。 stat3的活化对mTOR的活性会
Using Phospho‐Motif Antibodies to Determine Kinase Substrates
comprising both the phosphorylated residue and the surrounding residues that determine kinase specificity, with degenerate residues taking up the remaining positions. Currently, several categories of phospho?motif antibody are commercially available
技术资料暂无技术资料 索取技术资料





![CD31 antibody [1A10]](https://custom.dxycdn.com/trademd/upload/pic/2011/12/14/1323695845.jpg!small.t.1)
![RPSA antibody [MLuC5]](https://img1.dxycdn.com/2023/0711/451/6106825198874858761-14.jpg!wh200)

![PRAK antibody [N1C2]](https://img1.dxycdn.com/2023/0516/050/2572066211091928561-14.jpg!wh200)

