相关产品推荐更多 >
万千商家帮你免费找货
0 人在求购买到急需产品
- 详细信息
- 文献和实验
- 技术资料
- 免疫原:
Recombinant fusion protein containing a sequence corresponding to amino acids 1567-1676 of human C5 (NP_001726.2).
- 亚型:
IgG
- 形态:
Liquid
- 保存条件:
Store as concentrated solution. Centrifuge briefly prior to opening vial. For short-term storage (1-2 weeks), store at 4ºC. For long-term storage, aliquot and store at -20ºC or below. Avoid multiple freeze-thaw cycles.
- 克隆性:
Polyclonal
- 标记物:
Unconjugated
- 适应物种:
Human, Mouse, Rat
- 保质期:
12 months from the shipping date of the product.
- 抗原来源:
Human
- 目录编号:
GTX33052
- 级别:
Primary Antibodies
- 库存:
Available
- 供应商:
GeneTex
- 宿主:
Rabbit
- 应用范围:
WB, ICC/IF, IHC-P
- 浓度:
Batch dependent (Please refer to the vial label for the specific concentration.)
- 靶点:
C5 / C5b
- 抗体英文名:
C5 / C5b antibody
- 抗体名:
C5 / C5b 抗体
- 规格:
100 μl
ICC/IF analysis of U2OS cells using GTX33052 C5 / C5b antibody.
Blue : DAPI
Dilution : 1:100
WB analysis of various sample lysates using GTX33052 C5 / C5b antibody.
Dilution : 1:1000
Loading : 25μg per lane
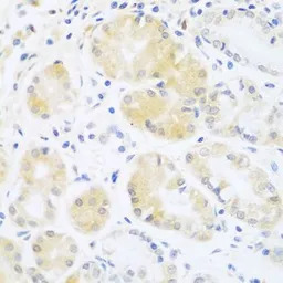
IHC-P analysis of human stomach tissue using GTX33052 C5 / C5b antibody.
Dilution : 1:100
WB analysis of various sample lysates using GTX33052 C5 / C5b antibody.
Dilution : 1:1000
Loading : 25μg per lane
风险提示:丁香通仅作为第三方平台,为商家信息发布提供平台空间。用户咨询产品时请注意保护个人信息及财产安全,合理判断,谨慎选购商品,商家和用户对交易行为负责。对于医疗器械类产品,请先查证核实企业经营资质和医疗器械产品注册证情况。
文献和实验补体成分 C5(C5a/C5b) 补体成分:C5 血清浓度(μg/ml):70 分子量(kDa):190 亚单位(链)及分子量(kDa):α∶115;β∶75 激活产物:C5a;C5b 生物学活性:C5a 强的过敏毒素作用、趋化作用、促代谢作用及免疫调节作用 C5b
Quantification of Complement C5b-9 Binding to Cells by Flow Cytometry
. By using an antibody that identifies a novel antigen of the C5b-9 complex, the amount of C5b-9 complexes on cells can be quantified by flow cytometry. The detailed protocol is described in this chapter.
N末端裂解出一个分子量为11kDa的小片段C5a进入液相中,其余部分为110kDa的大片段C5b,仍结合在细胞膜表面。亲生的C5b在极短时间内能保持与C6结合的构象,可与C6非共价结合形成一牢固的C5b6复合物,并通过与C3b的可逆性结合而固定的细胞膜上。但C5b生成后其潜在的生物学活性存在时间非常短促,若无C6结合则迅速衰变为C5bi。 C5b只形成MAC参与细胞溶解效应,而C5a却具有广泛的生物学活性。概括起来有以下几方面:(1)过敏毒素作用:C5a是具有过敏毒素作用的补体裂解片段中
技术资料暂无技术资料 索取技术资料





![WIF1 antibody [1G5]](https://img1.dxycdn.com/2023/0711/451/6106825198874858761-14.jpg!wh200)




