相关产品推荐更多 >
万千商家帮你免费找货
0 人在求购买到急需产品
- 详细信息
- 文献和实验
- 技术资料
- 免疫原:
Recombinant protein encompassing a sequence within the center region of human CD81. The exact sequence is proprietary.
- 亚型:
IgG
- 形态:
Liquid
- 保存条件:
Store as concentrated solution. Centrifuge briefly prior to opening vial. For short-term storage (1-2 weeks), store at 4ºC. For long-term storage, aliquot and store at -20ºC or below. Avoid multiple freeze-thaw cycles.
- 克隆性:
Polyclonal
- 标记物:
Unconjugated
- 适应物种:
Human, Mouse, Rat
- 保质期:
12 months from the shipping date of the product.
- 抗原来源:
Human
- 目录编号:
GTX101766
- 级别:
Primary Antibodies
- 库存:
Available
- 供应商:
GeneTex
- 宿主:
Rabbit
- 应用范围:
WB, ICC/IF, IHC-P, FACS, Blocking
- 浓度:
1.01 mg/ml (Please refer to the vial label for the specific concentration.)
- 靶点:
CD81
- 抗体英文名:
CD81 antibody
- 抗体名:
CD81 抗体
- 规格:
100 μl/25 μl
| 规格: | 100 μl | 产品价格: | ¥4000.0 |
|---|---|---|---|
| 规格: | 25 μl | 产品价格: | ¥1700.0 |
AsPC-1 whole cell extracts (5.5 μg) was separated by 12% SDS-PAGE, and the membrane was blotted with CD81 antibody (GTX101766) diluted at 1:500. The HRP-conjugated anti-rabbit IgG antibody (GTX213110-01) was used to detect the primary antibody.
CD81 antibody (GTX101766) detects CD81 by flow cytometry analysis.
Sample: THP-1 cell.
Black: Unlabelled sample was used as a control.
Red: CD81 antibody (GTX101766) dilution: 1:50.
Acquisition of 20,000 events were collected for FACS analysis.
Various whole cell extracts (30 μg) were separated by 12% SDS-PAGE, and the membrane was blotted with CD81 antibody (GTX101766) diluted at 1:1000. The HRP-conjugated anti-rabbit IgG antibody (GTX213110-01) was used to detect the primary antibody.
Non-transfected (–) and transfected (+) 293T whole cell extracts (30 μg) were separated by 12% SDS-PAGE, and the membrane was blotted with CD81 antibody (GTX101766) diluted at 1:1000. The HRP-conjugated anti-rabbit IgG antibody (GTX213110-01) was used to detect the primary antibody.
CD81 antibody detects CD81 protein by immunofluorescent analysis.
Sample: Jurkat and HepG2 cells were fixed in 4% PFA at RT for 15 min.
Green: CD81 stained by CD81 antibody (GTX101766) diluted at 1:500.
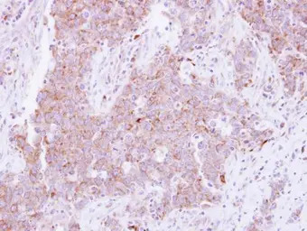
Immunohistochemical analysis of paraffin-embedded human lung Papillary adenocarcinoma, using CD81(GTX101766) antibody at 1:250 dilution.
Antigen Retrieval: Trilogy™ (EDTA based, pH 8.0) buffer, 15min
风险提示:丁香通仅作为第三方平台,为商家信息发布提供平台空间。用户咨询产品时请注意保护个人信息及财产安全,合理判断,谨慎选购商品,商家和用户对交易行为负责。对于医疗器械类产品,请先查证核实企业经营资质和医疗器械产品注册证情况。
文献和实验Ramos EK et al., Elife 2022 (PMID:36193887)
Xinhui Liu et al., Front Pharmacol 2020 (PMID:33603670)
Chih-Hsin Hsu et al., Int J Mol Sci 2021 (PMID:34638915)
Tong L et al., Theranostics 2021 (PMID:34373759)
Imai A et al., Odontology 2020 (PMID:32681298)
Tong L et al., Mol Nutr Food Res 2020 (PMID:32180343)
Xue Y et al., Am J Pathol 2020 (PMID:32289287)
Chen SY et al., Stem Cells Transl Med 2020 (PMID:31943851)
Kuo HF et al., J Clin Med 2019 (PMID:31167519)
Cheng WC et al., Int J Cancer 2019 (PMID:30980673)
Hwang WL et al., J Hematol Oncol 2019 (PMID:30683126)
Pascua-Maestro R et al., Front Cell Neurosci 2018 (PMID:30687015)
Xue Y et al., Am J Pathol 2018 (PMID:29577937)
Lee HY et al., Oncotarget 2018 (PMID:29568350)
Lin MC et al., J Vis Exp 2017 (PMID:28605392)
Deng A et al., Virus Res 2014 (PMID:24589706)
Tong L et al., Sci Adv 2023 (PMID:37043568)
Huang WT et al., Cancer Lett 2019 (PMID:30439539)
Liu Q et al., Nutrients 2023 (PMID:36771453)
CD81 分子 CD81 常用单克隆抗体或代号: ID6,5A6;(TAPA- 1) 主要表达细胞: 广泛,包括B,T,M [B] 分子质量(kDa)和结构: p26(TM4-SF) 功 能: 增殖抗体靶抗原,与CD19、CD21相连,组成B细胞复合体 CD81 Aka Target of an Anti-Proliferative Antibody (TAPA1)
Generation of Antibody Molecules Through Antibody Engineering
been overcome to a large extent using genetic-engineering techniques to produce chimeric mouse/human and completely human antibodies. Such an approach is particularly suitable because of the domain structure of the antibody molecule ( 2 ), where functional
CD19 / CD81 白细胞分化抗原及其功能 CDl9 CDl9分子胞膜外区结构属IgSF,包括2个C2样区,胞质区较长,不同种属间有很高的同源性,含有可发生磷酸化的丝/苏氨酸和酪氨酸残基。CDl9分子分布于除浆细胞外的B细胞谱系发育的各个阶段,也是与B细胞识别、黏附和活化有关的CD分子的结构B细胞的重要标记。 此外CDl9还表达于生发中心的FDC,以及某些急性髓细胞白血病细胞。CDl9是CDl9/CD21/CD81信号复合
技术资料暂无技术资料 索取技术资料










