相关产品推荐更多 >
万千商家帮你免费找货
0 人在求购买到急需产品
- 详细信息
- 文献和实验
- 技术资料
- 免疫原:
Purified recombinant fragment of Rab25 expressed in E. Coli.
- 亚型:
IgG2a
- 形态:
Liquid
- 保存条件:
Store as concentrated solution. Centrifuge briefly prior to opening vial. For short-term storage (1-2 weeks), store at 4ºC. For long-term storage, aliquot and store at -20ºC or below. Avoid multiple freeze-thaw cycles.
- 克隆性:
Monoclonal
- 标记物:
Unconjugated
- 适应物种:
Human
- 保质期:
12 months from the shipping date of the product.
- 抗原来源:
Human
- 目录编号:
GTX83350
- 级别:
Primary Antibodies
- 库存:
Available
- 供应商:
GeneTex
- 宿主:
Mouse
- 应用范围:
WB, IHC-P, ELISA
- 靶点:
Rab25
- 抗体英文名:
Rab25 antibody [3F12F3]
- 抗体名:
Rab25 抗体 [3F12F3]
- 规格:
100 μl
WB analysis of truncated Rab25 recombinant protein (1), human overy carcinoma(2), stomach carcinoma (3), breast carcinoma (4) tissue lysate using GTX83350 Rab25 antibody [3F12F3].
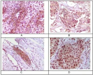
IHC-P analysis of human bladder carcinoma (A), breast carcinoma (B), esophagus carcinoma (C), skin carcinoma (D) tissu using GTX83350 Rab25 antibody [3F12F3].
风险提示:丁香通仅作为第三方平台,为商家信息发布提供平台空间。用户咨询产品时请注意保护个人信息及财产安全,合理判断,谨慎选购商品,商家和用户对交易行为负责。对于医疗器械类产品,请先查证核实企业经营资质和医疗器械产品注册证情况。
文献和实验B 细胞内抗体产生新机制!两篇 Nature 重磅揭示染色质环挤压导致 V(D)J 重组和抗体类别转换重组
12F3 B 淋巴细胞作为实验对象(该细胞系只能由 IgM 转换成 IgA),敲除 Iα 后用 Anti-CD40-IL-4-TGFβ 作为诱导物,同样利用 GRO-seq,3C-HTGTS 和 ChIP-seq 等测序技术来评估 Iα 转录在 AID 之外的 SαCSR 中的潜在作用。研究人员发现,黏着蛋白介导的环挤压促进 3’RR 激活 IgH 恒定区上游转录单位和 Sm-Sx 配对,并揭示了 CH12F3 细胞只进行 IgA 重组的机制。最后,研究人员又继续探究了 CH12F3NCΔ 细胞
that likely serve as substrates for this transporter. In this procedure, monoclonal antibodies directed either against an epitope within ABCA4 (Rim 3F4 antibody) or against the 9 amino acid 1D4 epitope tag engineered onto the C-terminus
Cloning and Expression of Single-Chain Fragments (scFv) from Mouse and Rat Hybridomas
For cloning and expressing the antigen-binding variable (Fv) portion of an antibody in Escherzchia coli , vectors have been constructed that combine the two variable regions (VH and VL ) with a peptide linker (1 –3 ). The genetic
技术资料暂无技术资料 索取技术资料






![Presenilin 2 antibody [7F8]](https://img1.dxycdn.com/2023/0711/451/6106825198874858761-14.jpg!wh200)


