相关产品推荐更多 >
万千商家帮你免费找货
0 人在求购买到急需产品
- 详细信息
- 文献和实验
- 技术资料
- 免疫原:
Full length human recombinant protein of human BRAF (NP_004324) produced in HEK293T cell.
- 亚型:
IgG1
- 形态:
Liquid
- 保存条件:
Store as concentrated solution. Centrifuge briefly prior to opening vial. For short-term storage (1-2 weeks), store at 4ºC. For long-term storage, aliquot and store at -20ºC or below. Avoid multiple freeze-thaw cycles.
- 克隆性:
Monoclonal
- 标记物:
Unconjugated
- 适应物种:
Human
- 保质期:
12 months from the shipping date of the product.
- 抗原来源:
Human
- 目录编号:
GTX84806
- 级别:
Primary Antibodies
- 库存:
Available
- 供应商:
GeneTex
- 宿主:
Mouse
- 应用范围:
WB, ICC/IF, FACS
- 浓度:
1 mg/ml (Please refer to the vial label for the specific concentration.)
- 靶点:
B-Raf
- 抗体英文名:
B-Raf antibody [1E2]
- 抗体名:
B-Raf 抗体 [1E2]
- 规格:
100 μl
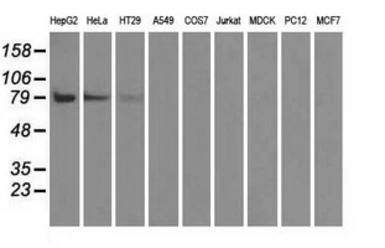
WB analysis of various cell lines using GTX84806 B-Raf antibody [1E2].
Loading : 35 ug per lane
WB analysis of HEK293T cells transfected with B-Raf plasmid (Right) or empty vector (Left) for 48 hrs using GTX84806 B-Raf antibody [1E2].
Loading : 5 ug per lane
ICC/IF analysis of COS7 cells transiently transfected with B-Raf plasmid using GTX84806 B-Raf antibody [1E2].
ICC/IF analysis of HepG2 cells using GTX84806 B-Raf antibody [1E2].
FACS analysis of HEK293T cells transfected with either B-Raf plasmid(Red) or empty vector control plasmid(Blue) using GTX84806 B-Raf antibody [1E2].
风险提示:丁香通仅作为第三方平台,为商家信息发布提供平台空间。用户咨询产品时请注意保护个人信息及财产安全,合理判断,谨慎选购商品,商家和用户对交易行为负责。对于医疗器械类产品,请先查证核实企业经营资质和医疗器械产品注册证情况。
文献和实验鸭 雌二醇 (E2 ) 酶联免疫 分析 试剂 盒使用说明书 本试剂仅供研究使用 目的:本试剂盒用于测定鸭血清,血浆, 粪便及相关样本中 雌二醇 (E2) 的含量。 实验原理 : 本试剂盒应用 双抗体 夹心法测定 标本 中 鸭 雌二醇 (E2) 水 平。用纯化的 鸭 雌二醇 (E2) 抗体 包被微孔板,制成固相 抗 体,往包被 单抗 的微孔中依次加入 雌二醇 (E2) ,再与HRP 标记的 雌二醇 (E2) 抗体
大鼠 雌二醇(E2 ) 酶联免疫分析(ELISA) 试剂盒使用说明书 本试剂仅供研究使用 目的:本试剂盒用于测定大鼠血清,血浆, 组织及相关液体样本中雌二醇(E2 ) 的含量。 实验原理: 本试剂盒应用双抗体夹心法测定标本中 大鼠 雌二醇(E2 ) 水 平。用纯化的 大鼠 雌二醇(E2 ) 抗体 包被微孔板,制成固相抗体,往包被单抗的微孔中依次加入 雌二醇(E2 ) ,再与 HRP 标记
人雌二醇(E2) 酶联免疫分析( ELISA ) 试剂盒使用说明书 本试剂仅供研究使用 目的:本试剂盒用于测定人血清,血浆及相关液体样本中雌二醇(E2) 的 含量。 实验原理: 本试剂盒应用双抗体夹心法测定标本中人雌二醇 (E2) 水平。用纯化的人雌二醇 (E2) 抗体包被微孔板,制成固相抗体,往包被单抗的微孔中依次加入雌二醇 (E2) ,再与 HRP 标记的雌二醇 (E2) 抗体
技术资料暂无技术资料 索取技术资料






![PCBP2 antibody [C2C3], C-term](https://img1.dxycdn.com/2023/0516/045/6925717576889828561-14.jpg!wh200)


