相关产品推荐更多 >
万千商家帮你免费找货
0 人在求购买到急需产品
- 详细信息
- 文献和实验
- 技术资料
- 免疫原:
Purified recombinant fragment of human CD19 expressed in E. Coli.
- 亚型:
IgG2b
- 形态:
Liquid
- 保存条件:
Store as concentrated solution. Centrifuge briefly prior to opening vial. For short-term storage (1-2 weeks), store at 4ºC. For long-term storage, aliquot and store at -20ºC or below. Avoid multiple freeze-thaw cycles.
- 克隆性:
Monoclonal
- 标记物:
Unconjugated
- 适应物种:
Human
- 保质期:
12 months from the shipping date of the product.
- 抗原来源:
Human
- 目录编号:
GTX83387
- 级别:
Primary Antibodies
- 库存:
Available
- 供应商:
GeneTex
- 宿主:
Mouse
- 应用范围:
WB, IHC-P, ELISA
- 浓度:
Batch dependent (Please refer to the vial label for the specific concentration.)
- 靶点:
CD19
- 抗体英文名:
CD19 antibody [2E2B6B10]
- 抗体名:
CD19 抗体 [2E2B6B10]
- 规格:
100 μl
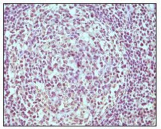
IHC-P analysis of human normal lymph node using GTX83387 CD19 antibody [2E2B6B10].
WB analysis of CD19 recombinant protein using GTX83387 CD19 antibody [2E2B6B10].
风险提示:丁香通仅作为第三方平台,为商家信息发布提供平台空间。用户咨询产品时请注意保护个人信息及财产安全,合理判断,谨慎选购商品,商家和用户对交易行为负责。对于医疗器械类产品,请先查证核实企业经营资质和医疗器械产品注册证情况。
文献和实验thresholds for antigen receptors and other surface receptors on B cells; also regulates B cell development, activation and differentiation CD19 antibody inhibits B cell activation from anti-immunoglobulin Coreceptor with CD21 Earliest B cell
by immunopurification of the CD19- or CD20-expressing cells with magnetic beads coated with an anti-CD19 or anti-CD20 antibody. The purified cells can be used for a wide range of biochemical analyses, including protein extraction for Western blot and immunoprecipitation
CD81 分子 CD81 常用单克隆抗体或代号: ID6,5A6;(TAPA- 1) 主要表达细胞: 广泛,包括B,T,M [B] 分子质量(kDa)和结构: p26(TM4-SF) 功 能: 增殖抗体靶抗原,与CD19、CD21相连,组成B细胞复合体 CD81 Aka Target of an Anti-Proliferative Antibody (TAPA1)
技术资料暂无技术资料 索取技术资料





![BrdU antibody [BrdU007] (ready-to-use) (Biotin)](https://img1.dxycdn.com/2023/0711/451/6106825198874858761-14.jpg!wh200)

![FABP4 antibody [N3C3]](https://img1.dxycdn.com/2023/0516/050/2572066211091928561-14.jpg!wh200)

