相关产品推荐更多 >
万千商家帮你免费找货
0 人在求购买到急需产品
- 详细信息
- 文献和实验
- 技术资料
- 免疫原:
Purified recombinant fragment of Rab25 expressed in E. Coli.
- 亚型:
IgG1
- 形态:
Liquid
- 保存条件:
Store as concentrated solution. Centrifuge briefly prior to opening vial. For short-term storage (1-2 weeks), store at 4ºC. For long-term storage, aliquot and store at -20ºC or below. Avoid multiple freeze-thaw cycles.
- 克隆性:
Monoclonal
- 标记物:
Unconjugated
- 适应物种:
Human, Mouse
- 保质期:
12 months from the shipping date of the product.
- 抗原来源:
Human
- 目录编号:
GTX82785
- 级别:
Primary Antibodies
- 库存:
Available
- 供应商:
GeneTex
- 宿主:
Mouse
- 应用范围:
WB, ICC/IF, IHC-P, FACS, ELISA
- 靶点:
Rab25
- 抗体英文名:
Rab25 antibody [3F12]
- 抗体名:
Rab25 抗体 [3F12]
- 规格:
100 μl
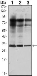
WB analysis of MCF-7 (1), T47D (2) and GC7901 (3) cell lysate using GTX82785 Rab25 antibody [3F12].
ICC/IF analysis of A549 cells using GTX82785 Rab25 antibody [3F12].
Green : Rab25
Blue: DRAQ5 fluorescent DNA dye
Red: Actin filaments
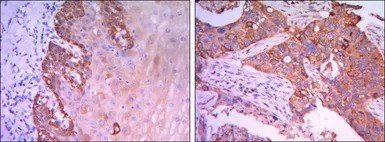
IHC-P analysis of esophagus tissue (left) and human lung cancer (right) using GTX82785 Rab25 antibody [3F12].
FACS analysis of NIH3T3 cells using GTX82785 Rab25 antibody [3F12].
Green : Rab25
Purple : negative control
风险提示:丁香通仅作为第三方平台,为商家信息发布提供平台空间。用户咨询产品时请注意保护个人信息及财产安全,合理判断,谨慎选购商品,商家和用户对交易行为负责。对于医疗器械类产品,请先查证核实企业经营资质和医疗器械产品注册证情况。
文献和实验Qiu S et al., Biomed Pharmacother 2019 (PMID:30551439)
/DMEM:F12 Resuspend in an appropriate volume of 10% FBS/DMEM:F12 and keep on ice Add 50μl cell suspension to 50μl 10% FBS/DMEM:F12 containing appropriate amount of antibody to give the final concentration listed below and incubate for 30min
) 3. BSA 4. DMEM 5. FCS 6. Antibiotic 7. Heparin 8. F12medium 9. Isoflourane 10. Ethonol 11. Dynabeads 12. anti-CD31antibody(BDPharmingen,catalognumber:550274) 13. M199 14. gelatin 二、设备 1. 离心机 2. 无菌培养橱
Preparation of Defined Human Embryonic Stem Cell Populations for Transcriptional Profiling
bovine serum (FBS; Invitrogen, cat. no. 16000‐044) in DMEM/F12 medium (chilled to 4°C) 37°C incubator
技术资料暂无技术资料 索取技术资料





![CD98 antibody [N1C2]](https://img1.dxycdn.com/2023/0516/895/8887749495766728561-14.jpg!wh200)

![alpha Smooth Muscle Actin antibody [1H8]](https://img1.dxycdn.com/2023/0711/451/6106825198874858761-14.jpg!wh200)


