相关产品推荐更多 >
万千商家帮你免费找货
0 人在求购买到急需产品
- 详细信息
- 文献和实验
- 技术资料
- 免疫原:
Purified recombinant fragment of human SIRT1 expressed in E. Coli.
- 亚型:
IgG1
- 形态:
Liquid
- 保存条件:
Store as concentrated solution. Centrifuge briefly prior to opening vial. For short-term storage (1-2 weeks), store at 4ºC. For long-term storage, aliquot and store at -20ºC or below. Avoid multiple freeze-thaw cycles.
- 克隆性:
Monoclonal
- 标记物:
Unconjugated
- 适应物种:
Human, Rat
- 保质期:
12 months from the shipping date of the product.
- 抗原来源:
Human
- 目录编号:
GTX82793
- 级别:
Primary Antibodies
- 库存:
Available
- 供应商:
GeneTex
- 宿主:
Mouse
- 应用范围:
WB, ICC/IF, IHC-P, FACS, ELISA
- 靶点:
SIRT1
- 抗体英文名:
SIRT1 antibody [1F3]
- 抗体名:
SIRT1 抗体 [1F3]
- 规格:
100 μl
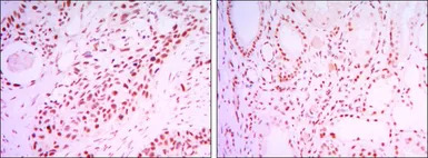
IHC-P analysis of lung cancer tissue (left) and kidney cancer tissue (right) using GTX82793 SIRT1 antibody [1F3].
FACS analysis of K562 cells using GTX82793 SIRT1 antibody [1F3].
Green : SIRT1
Purple : negative control
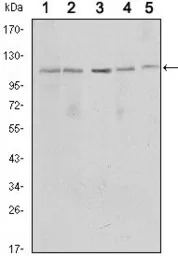
WB analysis of MCF-7 (1), Jurkat (2), HeLa (3), HEK293 (4) and A549 (5) cell lysate using GTX82793 SIRT1 antibody [1F3].
ICC/IF analysis of NTERA-2 cells using GTX82793 SIRT1 antibody [1F3].
Green : SIRT1
Red: Actin filaments
风险提示:丁香通仅作为第三方平台,为商家信息发布提供平台空间。用户咨询产品时请注意保护个人信息及财产安全,合理判断,谨慎选购商品,商家和用户对交易行为负责。对于医疗器械类产品,请先查证核实企业经营资质和医疗器械产品注册证情况。
文献和实验Wan-Ping Su et al., Biomed Pharmacother 2023 (PMID:37196543)
Miler M et al., J Agric Food Chem 2020 (PMID:32657124)
Kornelius E et al., CNS Neurosci Ther 2015 (PMID:26010513)
ELISPOT (Enzyme-linked ImmunoSPOT)
A 88-7370 eBio17CK15A5 eBio17B7 TNF-α 88-7328 1F3F3D4 mAb Cocktail Table 2: Human ELISPOT Ready-Set-Go! Sets & Antibody Selection Quick Guide
技术资料暂无技术资料 索取技术资料







![TSPAN7 antibody [B2D]](https://img1.dxycdn.com/2023/0711/451/6106825198874858761-14.jpg!wh200)


