相关产品推荐更多 >
万千商家帮你免费找货
0 人在求购买到急需产品
- 详细信息
- 文献和实验
- 技术资料
- 免疫原:
Purified recombinant fragment of human KLHL11 expressed in E. Coli.
- 亚型:
IgG1
- 形态:
Liquid
- 保存条件:
Store as concentrated solution. Centrifuge briefly prior to opening vial. For short-term storage (1-2 weeks), store at 4ºC. For long-term storage, aliquot and store at -20ºC or below. Avoid multiple freeze-thaw cycles.
- 克隆性:
Monoclonal
- 标记物:
Unconjugated
- 适应物种:
Human, Mouse
- 保质期:
12 months from the shipping date of the product.
- 抗原来源:
Human
- 目录编号:
GTX82811
- 级别:
Primary Antibodies
- 库存:
Available
- 供应商:
GeneTex
- 宿主:
Mouse
- 应用范围:
WB, ICC/IF, IHC-P, ELISA
- 靶点:
KLHL11
- 抗体英文名:
KLHL11 antibody [1B9C1]
- 抗体名:
KLHL11 抗体 [1B9C1]
- 规格:
100 μl
ICC/IF analysis of NIH3T3 cells using GTX82811 KLHL11 antibody [1B9C1].
Green : KLHL11
Blue: DRAQ5 fluorescent DNA dye
Red: Actin filaments
WB analysis of HeLa (1) and MCF-7 (2) cell lysate using GTX82811 KLHL11 antibody [1B9C1].
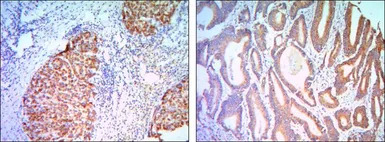
IHC-P analysis of liver cancer (right) and colon cancer tissue (left) using GTX82811 KLHL11 antibody [1B9C1].
风险提示:丁香通仅作为第三方平台,为商家信息发布提供平台空间。用户咨询产品时请注意保护个人信息及财产安全,合理判断,谨慎选购商品,商家和用户对交易行为负责。对于医疗器械类产品,请先查证核实企业经营资质和医疗器械产品注册证情况。
文献和实验) 50ml 标准品 (Standards ) : 10ng/瓶 2 瓶 底物工作液(TMB Solution ) 12ml 第一抗体工作液( Biotinylated Antibody
) 50ml 标准品 (Standards ) : 5ng/瓶 2 瓶 底物工作液(TMB Solution ) 12ml 第一抗体工作液( Biotinylated Antibody
人基质细胞衍生因子-1b(SDF-1b)ELISA试剂盒 说明书
Antibody ) 12ml 终止液 (Stop Solution ) 12ml 准备试剂与收集血样 1. 收集标本:血清、血浆(EDTA 、柠檬酸盐、肝素抗凝)、细胞培养上清液、组织匀浆等尽早检测, 2-8 ℃ 保存48 小时;更长时间须冷冻( -20 ℃或 -70 ℃
技术资料暂无技术资料 索取技术资料






![Estrogen Receptor alpha antibody [GT9004]](https://img1.dxycdn.com/2023/0711/451/6106825198874858761-14.jpg!wh200)



