相关产品推荐更多 >
万千商家帮你免费找货
0 人在求购买到急需产品
- 详细信息
- 文献和实验
- 技术资料
- 免疫原:
Purified recombinant fragment of human KLHL21 expressed in E. Coli.
- 亚型:
IgG1
- 形态:
Liquid
- 保存条件:
Store as concentrated solution. Centrifuge briefly prior to opening vial. For short-term storage (1-2 weeks), store at 4ºC. For long-term storage, aliquot and store at -20ºC or below. Avoid multiple freeze-thaw cycles.
- 克隆性:
Monoclonal
- 标记物:
Unconjugated
- 适应物种:
Human
- 保质期:
12 months from the shipping date of the product.
- 抗原来源:
Human
- 目录编号:
GTX82821
- 级别:
Primary Antibodies
- 库存:
Available
- 供应商:
GeneTex
- 宿主:
Mouse
- 应用范围:
WB, IHC-P, ELISA
- 靶点:
KLHL21
- 抗体英文名:
KLHL21 antibody [2H4]
- 抗体名:
KLHL21 抗体 [2H4]
- 规格:
100 μl
WB analysis of human KLHL21 (AA: 250-597) recombinant protein using GTX82821 KLHL21 antibody [2H4].
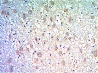
IHC-P analysis of human brain tissue using GTX82821 KLHL21 antibody [2H4].
风险提示:丁香通仅作为第三方平台,为商家信息发布提供平台空间。用户咨询产品时请注意保护个人信息及财产安全,合理判断,谨慎选购商品,商家和用户对交易行为负责。对于医疗器械类产品,请先查证核实企业经营资质和医疗器械产品注册证情况。
文献和实验Intracellular Cytokine Staining Protocol
anti-cytokine antibodies with excess amounts of unlabeled antibody. Alternatively, recombinant cytokines can be used for blocking.eBioscience antibodies are available as Functional Grade (FG) Purified (sterile, endotoxin-tested, no azide), Purified
CD45/CD45RA/CD45RB/CD45RC/CD45RO
CD45/CD45RA/CD45RB/CD45RC/CD45RO CD45 常用单克隆抗体或代号: T29/33,BMAC1;(T200,B220) 主要表达细胞: Leu [NL] 分子质量(kDa)和结构: gp180- 240,白细胞共同抗原(LCA) 功 能: PTP酶,调节信号传导 CD45RA 常用单克隆抗体或代号: G1- 15,F8- 11- 13,Leu18,2H4;(限制性LCA) 主要表达细胞: Tsub,B,G,M
Intracellular Cytokine Staining Protocol
, it is common to block the directly-conjugated anti-cytokine antibodies with excess amounts of unlabeled antibody. Alternatively, recombinant cytokines can be used for blocking. eBioscience antibodies are available as Functional Grade (FG) Purified (sterile
技术资料暂无技术资料 索取技术资料






![MAN1B1 antibody [3C2]](https://img1.dxycdn.com/2023/0711/451/6106825198874858761-14.jpg!wh200)


