相关产品推荐更多 >
万千商家帮你免费找货
0 人在求购买到急需产品
- 详细信息
- 文献和实验
- 技术资料
- 免疫原:
Purified recombinant fragment of human CDH2 expressed in E. Coli.
- 亚型:
IgG1
- 形态:
Liquid
- 保存条件:
Store as concentrated solution. Centrifuge briefly prior to opening vial. For short-term storage (1-2 weeks), store at 4ºC. For long-term storage, aliquot and store at -20ºC or below. Avoid multiple freeze-thaw cycles.
- 克隆性:
Monoclonal
- 标记物:
Unconjugated
- 适应物种:
Human, Mouse, Rat
- 保质期:
12 months from the shipping date of the product.
- 抗原来源:
Human
- 目录编号:
GTX82992
- 级别:
Primary Antibodies
- 库存:
Available
- 供应商:
GeneTex
- 宿主:
Mouse
- 应用范围:
WB, ICC/IF, IHC-P, FACS, ELISA
- 靶点:
N-Cadherin
- 抗体英文名:
N-Cadherin antibody [5D5]
- 抗体名:
N-Cadherin 抗体 [5D5]
- 规格:
100 μl
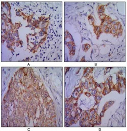
IHC-P analysis of human lung cancer (A), colon cancer (B), ovarian cancer (C) and mammary cancer(D) using GTX82992 N-Cadherin antibody [5D5].
ICC/IF analysis of A431 cells using GTX82992 N-Cadherin antibody [5D5].
Green : N-Cadherin
Blue: DRAQ5 fluorescent DNA dye
FACS analysis of PC-2 cells using GTX82992 N-Cadherin antibody [5D5].
Green : N-Cadherin
Purple : negative control
WB analysis of A431 (1), NIH3T3 (2), HeLa (3), C6 (4) and LNCap (5) cell lysate using GTX82992 N-Cadherin antibody [5D5].
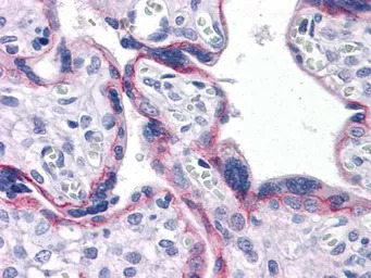
IHC-P analysis of human Placenta tissue using GTX82992 N-Cadherin antibody [5D5].
风险提示:丁香通仅作为第三方平台,为商家信息发布提供平台空间。用户咨询产品时请注意保护个人信息及财产安全,合理判断,谨慎选购商品,商家和用户对交易行为负责。对于医疗器械类产品,请先查证核实企业经营资质和医疗器械产品注册证情况。
文献和实验Zeng B et al., Exp Cell Res 2019 (PMID:30576678)
Saydaminova K et al., Cancer Biol Ther 2016 (PMID:27574825)
.I. tract), reduced expression of E cadherin is associated with a less favorable prognosis.N-cadherin- Monoclonal antibody 3B9- Source: Zymed- Dilution 1:25- Antigen retrieval method: HIER (pressure cooking) using EDTA- Staining pattern: Cell membrane
licanming 我的实验是用VEGF处理细胞后测定细胞PKC激活水平,拟采用Western blot的方法,用ECL法检测,这样分析PKC激活程度结果国际上认可吗? 我在Cell Signaling Technology上,查到 2261 Phospho-(Ser) PKC Substrate Antibody W IP E D 9371 Phospho-PKC (pan) (betaII Ser660) Antibody W IP
Dynamic Monitoring of Cellular Remodeling Induced by the Transforming Growth Factor-β1
of the quality and quantity of remodeling of epithelial cells is a complex issue. It usually includes quantification of expression of epithelial and mesenchymal markers (E-cadherin, N-cadherin, and vimentin), visualization of cytoskeletal rebuilding (F-
技术资料暂无技术资料 索取技术资料






![Ribonuclease Inhibitor antibody [4G4]](https://img1.dxycdn.com/2023/0711/451/6106825198874858761-14.jpg!wh200)
![MAP3K8 antibody [C1C3]](https://custom.dxycdn.com/trademd/upload/pic/2011/12/20/1324015994.jpg!small.t.1)


