相关产品推荐更多 >
万千商家帮你免费找货
0 人在求购买到急需产品
- 详细信息
- 文献和实验
- 技术资料
- 免疫原:
Human breast carcinoma cell line PMC-42.
- 亚型:
IgG1
- 形态:
Liquid
- 保存条件:
Store as concentrated solution. Centrifuge briefly prior to opening vial. Store at 4ºC. DO NOT FREEZE.
- 克隆性:
Monoclonal
- 标记物:
Unconjugated
- 适应物种:
Human
- 保质期:
12 months from the shipping date of the product.
- 抗原来源:
Human
- 目录编号:
GTX78238
- 级别:
Primary Antibodies
- 库存:
Available
- 供应商:
GeneTex
- 宿主:
Mouse
- 应用范围:
WB, ICC/IF, IHC-P, FACS, IP, ELISA
- 浓度:
1 mg/ml (Please refer to the vial label for the specific concentration.)
- 靶点:
We do not recommend use of this product for Bovine,Dog,Hamster,Mouse,Pig,Rat,Sheep.
- 抗体英文名:
Cytokeratin 18 antibody [DC-10]
- 抗体名:
Cytokeratin 18 抗体 [DC-10]
- 规格:
100 μg
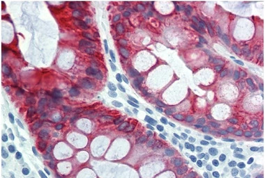
IHC-P analysis of human colon tissue using GTX78238 Cytokeratin 18 antibody [DC-10].
WB analysis of HeLa cell lysate using GTX78238 Cytokeratin 18 antibody [DC-10].
风险提示:丁香通仅作为第三方平台,为商家信息发布提供平台空间。用户咨询产品时请注意保护个人信息及财产安全,合理判断,谨慎选购商品,商家和用户对交易行为负责。对于医疗器械类产品,请先查证核实企业经营资质和医疗器械产品注册证情况。
文献和实验【公告】丁香通试用中心:10月免费试用装精选(10月18日有更新)
2013年诺贝尔生理或医学奖落花落“基础研究”,无疑给了大家一剂兴奋:在最基础的研究上,坚持下去;在小实验室里,自由探索。丁香通试用中心为助力科研,特推出申请试用装,送丁当的活动。 活动时间:2013.10.9-10.30 活动形式:跟帖附上申请的试用装,每申请一件,送2个丁当。 格式:我申请:动物组织总RNA提取试剂盒 重点推荐:5款PCR、RNA提取试剂盒 产品特点简介: 1. 动物组织总RNA提取试剂盒:去除DNA污染;无需担心RNA降解;高纯度;高得率
人白细胞介素 -1 8( IL-1 8) 酶联免疫 分析( ELISA ) 试剂 盒使用说明书 本试剂仅供研究使用 目的:本试剂盒用于测定人血清,血浆及相关液体样本中 白细胞介素18(IL-18)的 含量。 实验原理 : 本试剂盒应用 双抗体 夹心法测定 标本 中 人白细胞介素 -1 8( IL-1 8) 水平。用纯化的 人白细胞介素 -1 8( IL-1 8)抗体 包被微孔板,制成固相 抗 体,往包被 单抗 的微孔
in the same volume of Buffer 1 as the initial volume transferred from the vial in step 2. 2. Sample Preparation Preparation of MNC from Buffy Coat to Obtain Low Platelet Numbers 1) Dilute 10 – 18 ml buffy coat with Buffer 2 to a total
技术资料暂无技术资料 索取技术资料






![Albumin antibody [3F4]](https://img1.dxycdn.com/2023/0711/451/6106825198874858761-14.jpg!wh200)
![UHMK1 antibody [C3], C-term](https://custom.dxycdn.com/trademd/upload/pic/2011/12/20/1324016002.jpg!small.t.1)

