相关产品推荐更多 >
万千商家帮你免费找货
0 人在求购买到急需产品
- 详细信息
- 文献和实验
- 技术资料
- 免疫原:
Purified recombinant fragment of human CDH2 expressed in E. Coli.
- 亚型:
IgG1
- 形态:
Liquid
- 保存条件:
Store as concentrated solution. Centrifuge briefly prior to opening vial. For short-term storage (1-2 weeks), store at 4ºC. For long-term storage, aliquot and store at -20ºC or below. Avoid multiple freeze-thaw cycles.
- 克隆性:
Monoclonal
- 标记物:
Unconjugated
- 适应物种:
Human, Mouse, Rat
- 保质期:
12 months from the shipping date of the product.
- 抗原来源:
Human
- 目录编号:
GTX82992
- 级别:
Primary Antibodies
- 库存:
Available
- 供应商:
GeneTex
- 宿主:
Mouse
- 应用范围:
WB, ICC/IF, IHC-P, FACS, ELISA
- 靶点:
N-Cadherin
- 抗体英文名:
N-Cadherin antibody [5D5]
- 抗体名:
N-Cadherin 抗体 [5D5]
- 规格:
100 μl
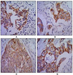
IHC-P analysis of human lung cancer (A), colon cancer (B), ovarian cancer (C) and mammary cancer(D) using GTX82992 N-Cadherin antibody [5D5].
ICC/IF analysis of A431 cells using GTX82992 N-Cadherin antibody [5D5].
Green : N-Cadherin
Blue: DRAQ5 fluorescent DNA dye
FACS analysis of PC-2 cells using GTX82992 N-Cadherin antibody [5D5].
Green : N-Cadherin
Purple : negative control
WB analysis of A431 (1), NIH3T3 (2), HeLa (3), C6 (4) and LNCap (5) cell lysate using GTX82992 N-Cadherin antibody [5D5].
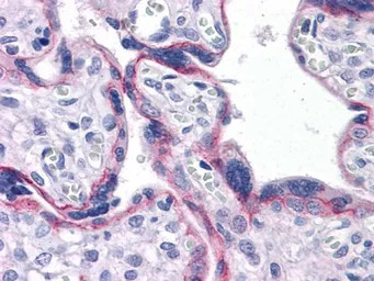
IHC-P analysis of human Placenta tissue using GTX82992 N-Cadherin antibody [5D5].
风险提示:丁香通仅作为第三方平台,为商家信息发布提供平台空间。用户咨询产品时请注意保护个人信息及财产安全,合理判断,谨慎选购商品,商家和用户对交易行为负责。对于医疗器械类产品,请先查证核实企业经营资质和医疗器械产品注册证情况。
文献和实验Zeng B et al., Exp Cell Res 2019 (PMID:30576678)
Saydaminova K et al., Cancer Biol Ther 2016 (PMID:27574825)
技术资料暂无技术资料 索取技术资料


![N-Cadherin antibody [5D5]](https://img1.dxycdn.com/2022/0328/589/2952166490737500453-14.jpg)






![MVP/LRP antibody [0.N.389] (Azide free)](https://img1.dxycdn.com/2022/0329/975/7878199893334020453-14.jpg!wh200)
