相关产品推荐更多 >
万千商家帮你免费找货
0 人在求购买到急需产品
- 详细信息
- 文献和实验
- 技术资料
- 免疫原:
Purified recombinant fragment of human CDC25C(AA : 1-200) expressed in E. Coli.
- 亚型:
IgG1
- 形态:
Liquid
- 保存条件:
Store as concentrated solution. Centrifuge briefly prior to opening vial. For short-term storage (1-2 weeks), store at 4ºC. For long-term storage, aliquot and store at -20ºC or below. Avoid multiple freeze-thaw cycles.
- 克隆性:
Monoclonal
- 标记物:
Unconjugated
- 适应物种:
Human
- 保质期:
12 months from the shipping date of the product.
- 抗原来源:
Human
- 目录编号:
GTX82998
- 级别:
Primary Antibodies
- 库存:
Available
- 供应商:
GeneTex
- 宿主:
Mouse
- 应用范围:
WB, IHC-P, ELISA
- 靶点:
CDC25C
- 抗体英文名:
CDC25C antibody [1F12]
- 抗体名:
CDC25C 抗体 [1F12]
- 规格:
100 μl
WB analysis of HeLa (1), K562 (2), PC-3 (3), HEK293 (4) and Raw264 using GTX82998 CDC25C antibody [1F12].
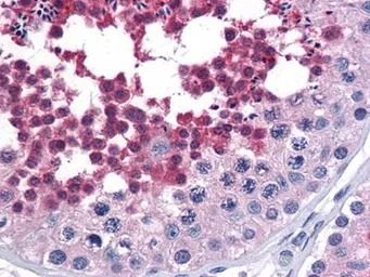
IHC-P analysis of human Testis tissue using GTX82998 CDC25C antibody [1F12].
风险提示:丁香通仅作为第三方平台,为商家信息发布提供平台空间。用户咨询产品时请注意保护个人信息及财产安全,合理判断,谨慎选购商品,商家和用户对交易行为负责。对于医疗器械类产品,请先查证核实企业经营资质和医疗器械产品注册证情况。
文献和实验checkpoint regulator that responds to DNA damage. Because CHK1 and CHK2 share some substrates such as CDC25C in vitro, this assay could also be used for CHK2 activity assay, except that the CHK2 antibody will replace the CHK1 antibody.
/DMEM:F12 Resuspend in an appropriate volume of 10% FBS/DMEM:F12 and keep on ice Add 50μl cell suspension to 50μl 10% FBS/DMEM:F12 containing appropriate amount of antibody to give the final concentration listed below and incubate for 30min
) 3. BSA 4. DMEM 5. FCS 6. Antibiotic 7. Heparin 8. F12medium 9. Isoflourane 10. Ethonol 11. Dynabeads 12. anti-CD31antibody(BDPharmingen,catalognumber:550274) 13. M199 14. gelatin 二、设备 1. 离心机 2. 无菌培养橱
技术资料暂无技术资料 索取技术资料









