相关产品推荐更多 >
万千商家帮你免费找货
0 人在求购买到急需产品
- 详细信息
- 文献和实验
- 技术资料
- 免疫原:
Purified recombinant fragment of human SorLA expressed in E. Coli.
- 亚型:
IgG1
- 形态:
Liquid
- 保存条件:
Store as concentrated solution. Centrifuge briefly prior to opening vial. For short-term storage (1-2 weeks), store at 4ºC. For long-term storage, aliquot and store at -20ºC or below. Avoid multiple freeze-thaw cycles.
- 克隆性:
Monoclonal
- 标记物:
Unconjugated
- 适应物种:
Human
- 保质期:
12 months from the shipping date of the product.
- 抗原来源:
Human
- 目录编号:
GTX83063
- 级别:
Primary Antibodies
- 库存:
Available
- 供应商:
GeneTex
- 宿主:
Mouse
- 应用范围:
WB, ICC/IF, IHC-P, ELISA
- 靶点:
SorLA
- 抗体英文名:
SorLA antibody [3B6B11]
- 抗体名:
SorLA 抗体 [3B6B11]
- 规格:
100 μl
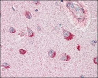
IHC-P analysis of human cerebrum tissue using GTX83063 SorLA antibody [3B6B11].
IHC-P analysis of human brain, cortex tissue using GTX83063 SorLA antibody [3B6B11].
ICC/IF analysis of PANC-1 cells using GTX83063 SorLA antibody [3B6B11].
Green : SorLA
Blue: DRAQ5 fluorescent DNA dye
Red: Actin filaments
WB analysis of truncated SorLA recombinant protein using GTX83063 SorLA antibody [3B6B11].
风险提示:丁香通仅作为第三方平台,为商家信息发布提供平台空间。用户咨询产品时请注意保护个人信息及财产安全,合理判断,谨慎选购商品,商家和用户对交易行为负责。对于医疗器械类产品,请先查证核实企业经营资质和医疗器械产品注册证情况。
文献和实验Yang W et al., Cell Commun Signal 2021 (PMID:34781973)
上海西唐生物科技有限公司 021-55229872, 65333639 www.westang.com 小鼠补体C3b (C3b)ELISA 试剂盒 ( 用于血清、血浆、细胞培养上清液和尿液、唾液生物体液内 ) 原理 本实验采用双抗体夹心 ABC-ELISA 法。用抗小鼠 C3b 单抗包被于酶标板上,标准品和样品中的 C3b与单抗结合,加入生物素化的抗小鼠 C3b
人巨噬细胞炎性蛋白-3b(MIP-3b)ELISA试剂盒 说明书
) 50ml 标准品 (Standards ) : 20ng/瓶 2 瓶 底物工作液(TMB Solution ) 12ml 第一抗体工作液( Biotinylated Antibody
补体成分 C3(C3a/C3b) 补体成分:C3 血清浓度(μg/ml):550-1200 分子量(kDa):195 亚单位(链)及分子量(kDa):α∶110;β∶85 激活产物:C3a;C3b 生物学活性:C3a 过敏毒素、趋化作用等。 C3b 组成CP、AP中的C3、C5转化
技术资料暂无技术资料 索取技术资料






![SRA antibody [7H1G1]](https://img1.dxycdn.com/2023/0711/451/6106825198874858761-14.jpg!wh200)


