相关产品推荐更多 >
万千商家帮你免费找货
0 人在求购买到急需产品
- 详细信息
- 文献和实验
- 技术资料
- 免疫原:
Purified recombinant fragment of protein IGFBP2 (aa180-328) expressed in E. Coli.
- 亚型:
IgG1
- 形态:
Liquid
- 保存条件:
Store as concentrated solution. Centrifuge briefly prior to opening vial. For short-term storage (1-2 weeks), store at 4ºC. For long-term storage, aliquot and store at -20ºC or below. Avoid multiple freeze-thaw cycles.
- 克隆性:
Monoclonal
- 标记物:
Unconjugated
- 适应物种:
Human
- 保质期:
12 months from the shipping date of the product.
- 抗原来源:
Human
- 目录编号:
GTX83035
- 级别:
Primary Antibodies
- 库存:
Available
- 供应商:
GeneTex
- 宿主:
Mouse
- 应用范围:
WB, IHC-P, ELISA
- 靶点:
IGFBP2
- 抗体英文名:
IGFBP2 antibody [1F6F6]
- 抗体名:
IGFBP2 抗体 [1F6F6]
- 规格:
100 μl
WB analysis of truncated IGFBP2-His recombinant protein (1) andtruncated IGFBP2 (aa40-328)-hIgGFc transfected CHO-K1 cell lysate (2) using GTX83035 IGFBP2 antibody [1F6F6].
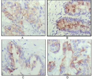
IHC-P analysis of human lung cancer (A), recturn(B), prostate (C), colon cancer (D) using GTX83035 IGFBP2 antibody [1F6F6].
风险提示:丁香通仅作为第三方平台,为商家信息发布提供平台空间。用户咨询产品时请注意保护个人信息及财产安全,合理判断,谨慎选购商品,商家和用户对交易行为负责。对于医疗器械类产品,请先查证核实企业经营资质和医疗器械产品注册证情况。
文献和实验(1 ). In our laboratory, we have developed methods to immortalize specific antibody-producing cells by fusing secreting EBV-activated lymphocytes to mouse-human heteromyeloma cell lines with electrofusion, followed by cloning (2 ). This methodology has allowed
1E C-term Antibody AP8428a PTPIA2 N-term Antibody AP8437a DUSP6 N-term Antibody AP8457a PPM1E N-term Antibody AP8427a PTPIA2beta N-term Antibody AP8438b DUSP7 C-term Antibody AP8447b PPM1F C-term Antibody AP8417a PTPkappa N-term Antibody AP
to the same size of the gel. (measure the gel area in centimeters) 4. Pre-wet both the gel and nitrocellose in transblot** buffer 5. Cut 16 pieces of Munktell Grade 1F filter paper to the size of the nitrocellulose. 6. Assemble
技术资料暂无技术资料 索取技术资料






![PEG (methoxy group) antibody [HL1020]](https://img1.dxycdn.com/2023/0711/058/8406876405285858761-14.jpg!wh200)

![KIF4A antibody [N1N2], N-term](https://img1.dxycdn.com/2023/0516/407/0466332107306928561-14.jpg!wh200)

