相关产品推荐更多 >
万千商家帮你免费找货
0 人在求购买到急需产品
- 详细信息
- 文献和实验
- 技术资料
- 免疫原:
Purified recombinant fragment of BLK expressed in E. Coli.
- 亚型:
IgG1
- 形态:
Liquid
- 保存条件:
Store as concentrated solution. Centrifuge briefly prior to opening vial. For short-term storage (1-2 weeks), store at 4ºC. For long-term storage, aliquot and store at -20ºC or below. Avoid multiple freeze-thaw cycles.
- 克隆性:
Monoclonal
- 标记物:
Unconjugated
- 适应物种:
Human
- 保质期:
12 months from the shipping date of the product.
- 抗原来源:
Human
- 目录编号:
GTX83154
- 级别:
Primary Antibodies
- 库存:
Available
- 供应商:
GeneTex
- 宿主:
Mouse
- 应用范围:
WB, IHC-P, ELISA
- 靶点:
BLK
- 抗体英文名:
BLK antibody [9D10B7]
- 抗体名:
BLK 抗体 [9D10B7]
- 规格:
100 μl
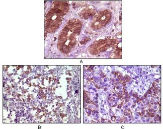
IHC-P analysis of human breast tissue (A), lymph tissue (B) and skin carcinoma (C) using GTX83154 BLK antibody [9D10B7].
WB analysis of truncated BLK recombinant protein (1)Raji cell lysate (2) using GTX83154 BLK antibody [9D10B7].
风险提示:丁香通仅作为第三方平台,为商家信息发布提供平台空间。用户咨询产品时请注意保护个人信息及财产安全,合理判断,谨慎选购商品,商家和用户对交易行为负责。对于医疗器械类产品,请先查证核实企业经营资质和医疗器械产品注册证情况。
文献和实验人B7-H4 ( B7-H4 )ELISA 试剂盒 ( 用于血清、血浆、细胞培养上清液和尿液生物体液内 ) 原理 本实验采用双抗体夹心 ABC-ELISA 法。用抗人 B7-H4 单抗包被于酶标板上,标准品和样品中的 B7-H4与单抗结合,加入生物素化的抗人 B7-H4 ,形成免疫复合物连接在板上,辣根过氧化物酶标记的 Streptavidin 与生物素结合,加入底物工作液显蓝色,最后加终止
Cytokine and Costimulatory Factor-Encoding Plasmids as Adjuvants for DNA Vaccination
molecules (CD40L [12 ], B7-1 [13 ] and B7-2 [14 ]) could enhance or modify the specific immune responses elicited by DNA immunization (see Table 1 ). Table 1 Summary of Effects of Cytokines after Conventional Vaccination and of Expression
机体免疫应答过程的复杂性和严格的调控性,是由多种免疫细胞和免疫分子共同参与完成的。而T淋巴细胞的活化,在免疫应答中扮演着相当重要的角色。研究表明,诱导T细胞的活化与增殖需要两种信号:一种是 TCR/CD3 与抗原提呈细胞(APCs)表面特异的 MHCⅡ 抗原肽复合物结合产生的特异性抗原刺激信号;另一种是非特异性协同刺激信号,由 APCs 表面的协同刺激分子和 T 细胞的相应受体相互作用后产生,其中 CD28/B7 是最为重要的协同刺激分子,能增加 IL-2 的产生,加速T细胞增殖,阻止细胞进入
技术资料暂无技术资料 索取技术资料







![RCC1 antibody [N1C1]](https://img1.dxycdn.com/2023/0516/407/0466332107306928561-14.jpg!wh200)
![Cytokeratin 19 antibody [HL1165]](https://img1.dxycdn.com/2023/0711/058/8406876405285858761-14.jpg!wh200)

