相关产品推荐更多 >
万千商家帮你免费找货
0 人在求购买到急需产品
- 详细信息
- 技术资料
- 免疫原:
Purified recombinant fragment of BLK expressed in E. Coli.
- 亚型:
IgG1
- 形态:
Liquid
- 保存条件:
Store as concentrated solution. Centrifuge briefly prior to opening vial. For short-term storage (1-2 weeks), store at 4ºC. For long-term storage, aliquot and store at -20ºC or below. Avoid multiple freeze-thaw cycles.
- 克隆性:
Monoclonal
- 标记物:
Unconjugated
- 适应物种:
Human
- 保质期:
12 months from the shipping date of the product.
- 抗原来源:
Human
- 目录编号:
GTX83154
- 级别:
Primary Antibodies
- 库存:
Available
- 供应商:
GeneTex
- 宿主:
Mouse
- 应用范围:
WB, IHC-P, ELISA
- 靶点:
BLK
- 抗体英文名:
BLK antibody [9D10B7]
- 抗体名:
BLK 抗体 [9D10B7]
- 规格:
100 μl
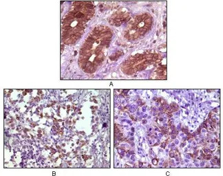
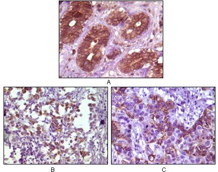
IHC-P analysis of human breast tissue (A), lymph tissue (B) and skin carcinoma (C) using GTX83154 BLK antibody [9D10B7].
WB analysis of truncated BLK recombinant protein (1)Raji cell lysate (2) using GTX83154 BLK antibody [9D10B7].
风险提示:丁香通仅作为第三方平台,为商家信息发布提供平台空间。用户咨询产品时请注意保护个人信息及财产安全,合理判断,谨慎选购商品,商家和用户对交易行为负责。对于医疗器械类产品,请先查证核实企业经营资质和医疗器械产品注册证情况。
技术资料暂无技术资料 索取技术资料


![BLK antibody [9D10B7]](https://img1.dxycdn.com/2022/0328/090/6672120365557500453-14.jpg)



![CD45R antibody [9F14]](https://img1.dxycdn.com/2022/0328/135/7344365907499400453-14.jpg!wh200)
![FOXP3 antibody [FXP3/197]](https://img1.dxycdn.com/2022/0328/317/8103085266160700453-14.jpg!wh200)


