相关产品推荐更多 >
万千商家帮你免费找货
0 人在求购买到急需产品
- 详细信息
- 文献和实验
- 技术资料
- 免疫原:
Purified recombinant fragment of human Dynamin-1 expressed in E. Coli.
- 亚型:
IgG2a
- 形态:
Liquid
- 保存条件:
Store as concentrated solution. Centrifuge briefly prior to opening vial. For short-term storage (1-2 weeks), store at 4ºC. For long-term storage, aliquot and store at -20ºC or below. Avoid multiple freeze-thaw cycles.
- 克隆性:
Monoclonal
- 标记物:
Unconjugated
- 适应物种:
Human, Mouse, Rat
- 保质期:
12 months from the shipping date of the product.
- 抗原来源:
Human
- 目录编号:
GTX83158
- 级别:
Primary Antibodies
- 库存:
Available
- 供应商:
GeneTex
- 宿主:
Mouse
- 应用范围:
WB, IHC-P, ELISA
- 靶点:
Dynamin 1
- 抗体英文名:
Dynamin 1 antibody [3G4B6]
- 抗体名:
Dynamin 1 抗体 [3G4B6]
- 规格:
100 μl
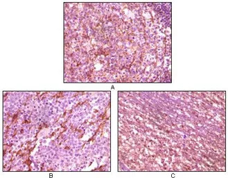
IHC-P analysis of human lymph tissue (A), glioma tissue (B) and cerebellum tissue (C) using GTX83158 Dynamin 1 antibody [3G4B6].
WB analysis of C6 (1), NIH3T3 (2), SKN-SH (3), LN18 (4), SHSY5Y (5) cell lysate and rat brain tiisues lysate (6) using GTX83158 Dynamin 1 antibody [3G4B6].
风险提示:丁香通仅作为第三方平台,为商家信息发布提供平台空间。用户咨询产品时请注意保护个人信息及财产安全,合理判断,谨慎选购商品,商家和用户对交易行为负责。对于医疗器械类产品,请先查证核实企业经营资质和医疗器械产品注册证情况。
文献和实验because: 1 Many of the heterologous anti-CYP2B antibody preparations are not useful owing to their slgmficant cross-reactivity with other human P450 enzymes; 2 A CYP2B6-specific chemical inhibitor has yet to be found; and 3 A dlagnostlc catalytic activity for human hepatlc mlcrosomal
祝贺〖雅裕睿安〗成为Signalway Antibody(SAB)独家
祝贺〖上海雅裕 〗成为 Signalway Antibody 品牌 (SAB) 的独家总代理。 促销【 ABCD 】细则如下: 【 A 】 买两支 SAB 抗体免费获得 8G 优盘 活动时间:即日起,至 2011 年
Immunofluorescence: Rabbit Anti-Murine RELMα
实验步骤 The following protocol used B6 mice that were infected with 200 embryonated Trichuris muris eggs and sacrificed 15 days post-infection. The tip of the cecum was removed, rinsed in 1X PBS pH 7.2, and fixed in 4% PFA
技术资料暂无技术资料 索取技术资料





![gamma Catenin antibody [CTNG/1483]](https://img1.dxycdn.com/2023/0711/451/6106825198874858761-14.jpg!wh200)



