相关产品推荐更多 >
万千商家帮你免费找货
0 人在求购买到急需产品
- 详细信息
- 技术资料
- 供应商:
上海康朗生物科技有限公司
- 库存:
大量
- 目录编号:
kl-3508R
- 克隆性:
多克隆
- 抗原来源:
Rabbit
- 保质期:
12个月
- 抗体英文名:
Nucleophosmin antibody
- 抗体名:
核仁磷酸蛋白抗体
- 宿主:
Rabbit
- 适应物种:
Human, Mouse, Rat, Dog, Pig, Cow, Horse, Rabbit,
- 免疫原:
KLH conjugated synthetic peptide derived from human NPM:51-150/294
- 亚型:
IgG
- 形态:
冻干粉或液体
- 应用范围:
WB=1:500-2000 ELISA=1:500-1000 IHC-P=1:400-800 IHC-F=1:400-800
- 浓度:
1mg/ml
- 保存条件:
-20 °C
- 规格:
100ul 200ul
Nucleophosmin antibody
| 中文名称 | 核仁磷酸蛋白抗体 |
| 别 名 | B23; B23; MGC104254; NMP1; NMP1; NO38; NPM 1; NPM; NPM_HUMAN; NPM1; Nucleolar Phosphoprotein B23; Nucleolar Phosphoprotein B23; Nucleolar protein NO38; Nucleophosmin (nucleolar phosphoprotein B23 numatrin); Nucleophosmin; Nucleophosmin/B23.2; Nucleophosmin/nucleoplasmin family member 1; Nucleoplasmin Family Member 1; Nucleoplasmin Family Member 1; Numatrin; Numatrin; OTTHUMP00000161024; OTTHUMP00000161025; OTTHUMP00000223397; OTTHUMP00000223398; TRK fused gene. |
| 规格价格 | 100ul/1380元 购买 200ul/2200元 购买 大包装/询价 |
| 说 明 书 | 100ul 200ul |
| 研究领域 | 肿瘤 细胞生物 免疫学 信号转导 细胞凋亡 细胞周期蛋白 转录调节因子 |
| 抗体来源 | Rabbit |
| 克隆类型 | Polyclonal |
| 交叉反应 | Human, Mouse, Rat, Dog, Pig, Cow, Horse, Rabbit, |
| 产品应用 | WB=1:500-2000 ELISA=1:500-1000 IHC-P=1:400-800 IHC-F=1:400-800 (石蜡切片需做抗原修复) not yet tested in other applications. optimal dilutions/concentrations should be determined by the end user. |
| 分 子 量 | 32kDa |
| 细胞定位 | 细胞核 |
| 性 状 | Lyophilized or Liquid |
| 浓 度 | 1mg/ml |
| 免 疫 原 | KLH conjugated synthetic peptide derived from human NPM:51-150/294 |
| 亚 型 | IgG |
| 纯化方法 | affinity purified by Protein A |
| 储 存 液 | 0.01M TBS(pH7.4) with 1% BSA, 0.03% Proclin300 and 50% Glycerol. |
| 保存条件 | Store at -20 °C for one year. Avoid repeated freeze/thaw cycles. The lyophilized antibody is stable at room temperature for at least one month and for greater than a year when kept at -20°C. When reconstituted in sterile pH 7.4 0.01M PBS or diluent of antibody the antibody is stable for at least two weeks at 2-4 °C. |
| PubMed | PubMed |
| 产品介绍 | background: This gene encodes a phosphoprotein which moves between the nucleus and the cytoplasm. The gene product is thought to be involved in several processes including regulation of the ARF/p53 pathway. A number of genes are fusion partners have been characterized, in particular the anaplastic lymphoma kinase gene on chromosome 2. Mutations in this gene are associated with acute myeloid leukemia. More than a dozen pseudogenes of this gene have been identified. Alternative splicing results in multiple transcript variants.[provided by RefSeq, Nov 2009]. Function: Involved in diverse cellular processes such as ribosome biogenesis, centrosome duplication, protein chaperoning, histone assembly, cell proliferation, and regulation of tumor suppressors p53/TP53 and ARF. Binds ribosome presumably to drive ribosome nuclear export. Associated with nucleolar ribonucleoprotein structures and bind single-stranded nucleic acids. Acts as a chaperonin for the core histones H3, H2B and H4. Stimulates APEX1 endonuclease activity on apurinic/apyrimidinic (AP) double-stranded DNA but inhibits APEX1 endonuclease activity on AP single-stranded RNA. May exert a control of APEX1 endonuclease activity within nucleoli devoted to repair AP on rDNA and the removal of oxidized rRNA molecules. Subunit: Decamer formed by two pentameric rings associated in a head-to-head fashion. Disulfide-linked dimers under certain conditions. The SWAP complex consists of NPM1, NCL, PARP1 and SWAP70 (By similarity). Interacts with NSUN2 and SENP3. Interacts with hepatitis delta virus S-HDAg. Interacts with HTLV1 Rex protein (via N-terminal nuclear localization signal). Interacts with the methylated form of RPS10. Interacts (via N-terminal domain) with APEX1; the interaction is RNA-dependent and decreases in hydrogen peroxide-damaged cells. Subcellular Location: Nucleus, nucleolus. Nucleus, nucleoplasm. Note=Generally nucleolar, but is translocated to the nucleoplasm in case of serum starvation or treatment with anticancer drugs. Has been found in the cytoplasm in patients with primary acute myelogenous leukemia (AML), but not with secondary AML. Can shuttle between cytoplasm and nucleus. Co-localizes with the methylated form of RPS10 in the granular component (GC) region of the nucleolus. Colocalized with nucleolin and APEX1 in nucleoli. Post-translational modifications: Acetylated at C-terminal lysine residues, thereby increasing affinity to histones. ADP-ribosylated. Phosphorylated at Ser-4 by PLK1. Phosphorylated by CDK2 at Ser-125 and Thr-199. Phosphorylation at Thr-199 may trigger initiation of centrosome duplication. Phosphorylated by CDK1 at Thr-199, Thr-219, Thr-234 and Thr-237 during cell mitosis. When these four sites are phosphorated, RNA-binding activity seem to be abolished. May be phosphorylated at Ser-70 by NEK2. Sumoylated by ARF. DISEASE: Note=A chromosomal aberration involving NPM1 is found in a form of non-Hodgkin lymphoma. Translocation t(2;5)(p23;q35) with ALK. The resulting chimeric NPM1-ALK protein homodimerize and the kinase becomes constitutively activated. Note=A chromosomal aberration involving NPM1 is found in a form of acute promyelocytic leukemia. Translocation t(5;17)(q32;q11) with RARA. Note=A chromosomal aberration involving NPM1 is a cause of myelodysplastic syndrome (MDS). Translocation t(3;5)(q25.1;q34) with MLF1. Note=Defects in NPM1 are associated with acute myelogenous leukemia (AML). Mutations in exon 12 affecting the C-terminus of the protein are associated with an aberrant cytoplasmic location. Similarity: Belongs to the nucleoplasmin family. SWISS: P06748 Gene ID: 4869 Database links: Entrez Gene: 4869 Human Omim: 164040 Human SwissProt: P06748 Human Unigene: 557550 Human Important Note: This product as supplied is intended for research use only, not for use in human, therapeutic or diagnostic applications. 核仁磷酸蛋白(nucleophosmin)是雌激素调控的一种核仁蛋白, Nucleophosmin(又称为NPM、B23、Numatrin、NO38)位于核仁的颗粒区,与其他一些核蛋白如C23、P120等可相互作用。NPM是一种主要位于核的核与胞浆穿梭蛋白,能调节ARF-p53肿瘤抑制通路。NPM是一种主要的核仁蛋白,在肿瘤或增殖细胞中的表达量比正常静止细胞中多20多倍。研究资料表明,转录因子YY1在NPM基因的表达中可能发挥作用。 NPM可以在细胞核与细胞浆之间穿梭,其定位受细胞周期及一些细胞毒药物的影响。NPM基因在多种人类肿瘤中过表达,因此被公认为肿瘤标志物和癌基因.后来研究发现NPM也具有抑制肿瘤的功能,它的缺失、突变甚至重排与多种肿瘤的发生密切相关. |
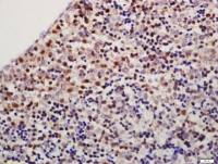
| 产品图片 | ![]() Sample: Hela(Human) Cell Lysate at 30 ug Primary: Anti-Nucleophosmin (bs-3508R) at 1/1000 dilution Secondary: IRDye800CW Goat Anti-Rabbit IgG at 1/20000 dilution Predicted band size: 32 kD Observed band size: 32 kD ![]() Paraformaldehyde-fixed, paraffin embedded (Human brain glioma); Antigen retrieval by boiling in sodium citrate buffer (pH6.0) for 15min; Block endogenous peroxidase by 3% hydrogen peroxide for 20 minutes; Blocking buffer (normal goat serum) at 37°C for 30min; Antibody incubation with (Nucleophosmin) Polyclonal Antibody, Unconjugated (bs-3508R) at 1:400 overnight at 4°C, followed by operating according to SP Kit(Rabbit) (sp-0023) instructionsand DAB staining. ![]() Paraformaldehyde-fixed, paraffin embedded (Rat brain); Antigen retrieval by boiling in sodium citrate buffer (pH6.0) for 15min; Block endogenous peroxidase by 3% hydrogen peroxide for 20 minutes; Blocking buffer (normal goat serum) at 37°C for 30min; Antibody incubation with (Nucleophosmin) Polyclonal Antibody, Unconjugated (bs-3508R) at 1:400 overnight at 4°C, followed by operating according to SP Kit(Rabbit) (sp-0023) instructionsand DAB staining. ![]() Paraformaldehyde-fixed, paraffin embedded (Mouse brain); Antigen retrieval by boiling in sodium citrate buffer (pH6.0) for 15min; Block endogenous peroxidase by 3% hydrogen peroxide for 20 minutes; Blocking buffer (normal goat serum) at 37°C for 30min; Antibody incubation with (Nucleophosmin) Polyclonal Antibody, Unconjugated (bs-3508R) at 1:400 overnight at 4°C, followed by operating according to SP Kit(Rabbit) (sp-0023) instructionsand DAB staining. |
风险提示:丁香通仅作为第三方平台,为商家信息发布提供平台空间。用户咨询产品时请注意保护个人信息及财产安全,合理判断,谨慎选购商品,商家和用户对交易行为负责。对于医疗器械类产品,请先查证核实企业经营资质和医疗器械产品注册证情况。
技术资料暂无技术资料 索取技术资料
Nucleophosmin antibody
¥1380 - 2200













