相关产品推荐更多 >
万千商家帮你免费找货
0 人在求购买到急需产品
- 详细信息
- 文献和实验
- 技术资料
- 免疫原:
Purified recombinant fragment of human Pirh2 expressed in E. Coli.
- 亚型:
IgG1
- 形态:
Liquid
- 保存条件:
Store as concentrated solution. Centrifuge briefly prior to opening vial. For short-term storage (1-2 weeks), store at 4ºC. For long-term storage, aliquot and store at -20ºC or below. Avoid multiple freeze-thaw cycles.
- 克隆性:
Monoclonal
- 标记物:
Unconjugated
- 适应物种:
Human, Rat
- 保质期:
12 months from the shipping date of the product.
- 抗原来源:
Human
- 目录编号:
GTX83290
- 级别:
Primary Antibodies
- 库存:
Available
- 供应商:
GeneTex
- 宿主:
Mouse
- 应用范围:
WB, ICC/IF, IHC-P, FACS, ELISA
- 靶点:
Pirh2
- 抗体英文名:
Pirh2 antibody [1H10]
- 抗体名:
Pirh2 抗体 [1H10]
- 规格:
100 μl
WB analysis of HeLa (1), A549 (2), MCF-7 (3) and PC-12 (4) cell lysate using GTX83290 Pirh2 antibody [1H10].
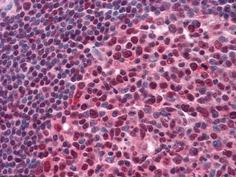
IHC-P analysis of human Tonsil tissue using GTX83290 Pirh2 antibody [1H10].
FACS analysis of PC-12 cells using GTX83290 Pirh2 antibody [1H10].
Blue : Pirh2
Red : negative control
ICC/IF analysis of HeLa cells using GTX83290 Pirh2 antibody [1H10].
Green : Pirh2
Red: Actin filaments
风险提示:丁香通仅作为第三方平台,为商家信息发布提供平台空间。用户咨询产品时请注意保护个人信息及财产安全,合理判断,谨慎选购商品,商家和用户对交易行为负责。对于医疗器械类产品,请先查证核实企业经营资质和医疗器械产品注册证情况。
文献和实验Enzyme-Linked ImmunoSorbent Assay (ELISA) for NGF
A. DAY 1 PROCEDURE• ABSORPTION OF THE POLYCLONAL AND PREIMMUNE SERUMThe Goat Anti-Mouse (GAM) NGF polyclonal antibody recognizes 2.5B NGF and the Goat IgG (GIG) preimmune serum serves as a control for the antibody (Hazleton). The relative signal
线粒体荧光探针大全:TMRM,Mitotracker,JC-1
of the OxPhos Complex may also be used for immunohistochemical analysis. Image analysis of the antibody's staining pattern can reveal the relative expression and localization of a subunit. This approach has been particularly useful for studying OxPhos subunit
技术资料暂无技术资料 索取技术资料







![GABA Receptor Epsilon antibody [N1N3]](https://img1.dxycdn.com/2023/0516/045/6925717576889828561-14.jpg!wh200)

