相关产品推荐更多 >
万千商家帮你免费找货
0 人在求购买到急需产品
- 详细信息
- 文献和实验
- 技术资料
- 免疫原:
Purified recombinant fragment of EphB4 expressed in E. Coli.
- 亚型:
IgG2a
- 形态:
Liquid
- 保存条件:
Store as concentrated solution. Centrifuge briefly prior to opening vial. For short-term storage (1-2 weeks), store at 4ºC. For long-term storage, aliquot and store at -20ºC or below. Avoid multiple freeze-thaw cycles.
- 克隆性:
Monoclonal
- 标记物:
Unconjugated
- 适应物种:
Human
- 保质期:
12 months from the shipping date of the product.
- 抗原来源:
Human
- 目录编号:
GTX83333
- 级别:
Primary Antibodies
- 库存:
Available
- 供应商:
GeneTex
- 宿主:
Mouse
- 应用范围:
WB, IHC-P, ELISA
- 靶点:
It is only specific to EPHB4
- 抗体英文名:
EphB4 antibody [5B8F7]
- 抗体名:
EphB4 抗体 [5B8F7]
- 规格:
100 μl
WB analysis of truncated EphB4 recombinant protein using GTX83333 EphB4 antibody [5B8F7].
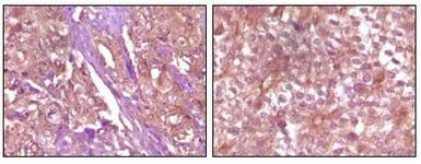
IHC-P analysis of human pancreas carcinoma (left) and breast carcinoma (right) tissue using GTX83333 EphB4 antibody [5B8F7].
风险提示:丁香通仅作为第三方平台,为商家信息发布提供平台空间。用户咨询产品时请注意保护个人信息及财产安全,合理判断,谨慎选购商品,商家和用户对交易行为负责。对于医疗器械类产品,请先查证核实企业经营资质和医疗器械产品注册证情况。
文献和实验人整合素a5b3(Integrin a5b3)ELISA试剂盒 说明书
第一抗体工作液( Biotinylated Antibody ) 12ml 终止液 (Stop Solution ) 12ml 准备试剂与收集血样 1. 收集标本:血清、血浆(EDTA )、细胞培养上清液、组织匀浆等尽早检测, 2-8 ℃ 保存48 小时;更长时间须
人抗酒石酸酸性磷酸酶5b(TRACP-5b)ELISA试剂盒 说明书
上海西唐生物科技有限公司 021-55229872, 65333639 www.westang.com 人抗酒石酸酸性磷酸酶5b ( TRACP-5b )ELISA 试剂盒 ( 用于血清、血浆、细胞培养上清液和生物体液内 ) 原理 本实验采用双抗体夹心 ABC-ELISA 法。用抗人 TRACP-5b 单抗包被于酶标板上,标准品和样品中的 TRACP-5b与单抗
Quantification of Complement C5b-9 Binding to Cells by Flow Cytometry
. By using an antibody that identifies a novel antigen of the C5b-9 complex, the amount of C5b-9 complexes on cells can be quantified by flow cytometry. The detailed protocol is described in this chapter.
技术资料暂无技术资料 索取技术资料





![CD36 antibody [SMØ]](https://img1.dxycdn.com/2023/0711/451/6106825198874858761-14.jpg!wh200)

![C9orf43 antibody [N2C2], Internal](https://img1.dxycdn.com/2023/0711/255/2344116916935858761-14.jpg!wh200)


