相关产品推荐更多 >
万千商家帮你免费找货
0 人在求购买到急需产品
- 详细信息
- 文献和实验
- 技术资料
- 免疫原:
Purified recombinant fragment of human PRKACG expressed in E. Coli.
- 亚型:
IgG1
- 形态:
Liquid
- 保存条件:
Store as concentrated solution. Centrifuge briefly prior to opening vial. For short-term storage (1-2 weeks), store at 4ºC. For long-term storage, aliquot and store at -20ºC or below. Avoid multiple freeze-thaw cycles.
- 克隆性:
Monoclonal
- 标记物:
Unconjugated
- 适应物种:
Human
- 保质期:
12 months from the shipping date of the product.
- 抗原来源:
Human
- 目录编号:
GTX60597
- 级别:
Primary Antibodies
- 库存:
Available
- 供应商:
GeneTex
- 宿主:
Mouse
- 应用范围:
WB, IHC-P, FACS, ELISA
- 靶点:
PKA C gamma
- 抗体英文名:
PKA C gamma antibody [2E4]
- 抗体名:
PKA C gamma 抗体 [2E4]
- 规格:
100 μl
WB analysis of human PKA C gamma (AA: 164-351) recombinant protein using GTX60597 PKA C gamma antibody [2E4].
FACS analysis of MCF-7 cells using GTX60597 PKA C gamma antibody [2E4].
Green : PKA C gamma
Red : negative control
ELISA analysis of antigen using GTX60597 PKA C gamma antibody [2E4].
Black : Control antigen 100ng
Purple : Antigen 10ng
Blue : Antigen 50ng
Red : Antigen 100ng
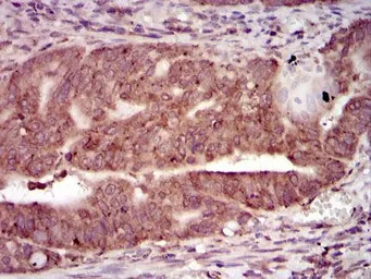
IHC-P analysis of rectum cancer tissue using GTX60597 PKA C gamma antibody [2E4].
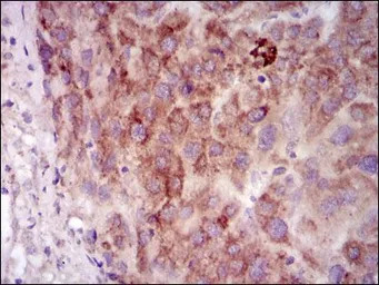
IHC-P analysis of liver cancer tissue using GTX60597 PKA C gamma antibody [2E4].
风险提示:丁香通仅作为第三方平台,为商家信息发布提供平台空间。用户咨询产品时请注意保护个人信息及财产安全,合理判断,谨慎选购商品,商家和用户对交易行为负责。对于医疗器械类产品,请先查证核实企业经营资质和医疗器械产品注册证情况。
文献和实验上海西唐生物科技有限公司 021-55229872, 65333639 www.westang.com 人白细胞三烯E4 ( LTE4 )ELISA 试剂盒 ( 用于血清、血浆、细胞培养上清液和其它生物体液内 ) 原理 本实验采用双抗体夹心 ABC-ELISA 法。用抗人 LTE4 单抗包被于酶标板上,标准品和样品中的 LTE4与单抗结合,加入生物素化的抗人
Integrating extrachromasomal arrays into the C. elegans chromosomes
Integrating extrachromasomal arrays into the C. elegans chromosomes Why and how to do it by Michael Koelle What is the benefit of integrating an extrachromosomal array
上海西唐生物科技有限公司 021-55229872, 65333639 www.westang.com 大鼠蛋白激酶 A(PKA)ELISA 试剂盒 ( 用于血清、血浆、细胞培养上清液和其它生物体液内 ) 原理 本实验采用双抗体夹心 ABC-ELISA 法。用抗大鼠 PKA 单抗包被于酶标板上,标准品和样品中的 PKA 与单抗结合,加入生物素化的抗大鼠 PKA ,形成免疫复合物连接在板上,辣根
技术资料暂无技术资料 索取技术资料






![Emerin antibody [4G5]](https://img1.dxycdn.com/2023/0711/451/6106825198874858761-14.jpg!wh200)

![Transaldolase antibody [N2C3]](https://img1.dxycdn.com/2023/0516/045/6925717576889828561-14.jpg!wh200)

