相关产品推荐更多 >
万千商家帮你免费找货
0 人在求购买到急需产品
- 详细信息
- 文献和实验
- 技术资料
- 免疫原:
Purified recombinant fragment of MLH1 (aa381-483) expressed in E. Coli.
- 亚型:
IgG1
- 形态:
Liquid
- 保存条件:
Store as concentrated solution. Centrifuge briefly prior to opening vial. For short-term storage (1-2 weeks), store at 4ºC. For long-term storage, aliquot and store at -20ºC or below. Avoid multiple freeze-thaw cycles.
- 克隆性:
Monoclonal
- 标记物:
Unconjugated
- 适应物种:
Human, Monkey
- 保质期:
12 months from the shipping date of the product.
- 抗原来源:
Human
- 目录编号:
GTX83336
- 级别:
Primary Antibodies
- 库存:
Available
- 供应商:
GeneTex
- 宿主:
Mouse
- 应用范围:
WB, ICC/IF, IHC-P, ELISA
- 靶点:
MLH1
- 抗体英文名:
MLH1 antibody [4C9C7]
- 抗体名:
MLH1 抗体 [4C9C7]
- 规格:
100 μl
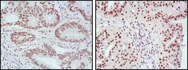
IHC-P analysis of human rectum cancer (left) and ovarian cancer (right) tissue using GTX83336 MLH1 antibody [4C9C7].
WB analysis of HeLa (1), MCF-7 (2) and A549 (3), Jurkat (4), 2R75 (5) and COS (6) cell lysate using GTX83336 MLH1 antibody [4C9C7].
ICC/IF analysis of HeLa cells using GTX83336 MLH1 antibody [4C9C7].
Green : MLH1
Red: Actin filaments
风险提示:丁香通仅作为第三方平台,为商家信息发布提供平台空间。用户咨询产品时请注意保护个人信息及财产安全,合理判断,谨慎选购商品,商家和用户对交易行为负责。对于医疗器械类产品,请先查证核实企业经营资质和医疗器械产品注册证情况。
文献和实验补体成分 C6/C7/C8/C9 补体成分:C6 血清浓度(μg/ml):60 分子量(kDa):128 亚单位(链)及分子量(kDa):1条 生物学活性:组成MAC,触发淋巴细胞母细胞化 补体成分:C7 血清浓度(μg/ml):60 分子量(kDa):121 亚单位(链)及分子量(kDa):1条
Immunofluorescent staining of Sea Urchin embryos
that there are embryos. Coverslip. Examine using epifluorescence. Antibodies from David McClay Ig8, 1D5 -PMCs and spicules Ecto V, 295 - ventral ectoderm 5C7 - vegetal plate and posterior archenteron Secondary antibody Texas Red
Look Ma, No Archenteron! Sulfate role in sea urchin early development
were then divided into two groups and stained with 5C7, a monoclonal antibody that stains endoderm, as described in the "Immunofluorescent staining of Sea Urchin embryos" or histochemically stained as described in the "Histochemical staining of sea urchin embryos
技术资料暂无技术资料 索取技术资料





![PD1 antibody [C1C3]](https://custom.dxycdn.com/trademd/upload/pic/2011/12/20/1324016002.jpg!small.t.1)

![MICAL1 antibody [N1N3]](https://img1.dxycdn.com/2023/0516/050/2572066211091928561-14.jpg!wh200)


