相关产品推荐更多 >
万千商家帮你免费找货
0 人在求购买到急需产品
- 详细信息
- 文献和实验
- 技术资料
- 免疫原:
Recombinant MBP purified from E. coli
- 亚型:
IgG1
- 形态:
Liquid
- 保存条件:
Store as concentrated solution. Centrifuge briefly prior to opening vial. For short-term storage (1-2 weeks), store at 4ºC. For long-term storage, aliquot and store at -20ºC or below. Avoid multiple freeze-thaw cycles.
- 克隆性:
Monoclonal
- 标记物:
Unconjugated
- 保质期:
12 months from the shipping date of the product.
- 抗原来源:
E. coli
- 目录编号:
GTX50060
- 级别:
Primary Antibodies
- 库存:
Available
- 供应商:
GeneTex
- 宿主:
Mouse
- 应用范围:
WB, ELISA
- 浓度:
1 mg/ml (Please refer to the vial label for the specific concentration.)
- 靶点:
Maltose binding protein
- 抗体英文名:
Maltose binding protein antibody [10C12]
- 抗体名:
Maltose binding protein 抗体 [10C12]
- 规格:
100 μl
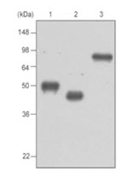
Recombinant protein MBP-tagged BCDEF, TPD52 and MAGEA3(each 20ng) were resolved by SDS-PAGE, transferred to PVDF membrane and probed with anti-MBP (1:1,000). Proteins were visualized using a goat anti-mouse secondary antibody conjugated to HRP and an ECL
风险提示:丁香通仅作为第三方平台,为商家信息发布提供平台空间。用户咨询产品时请注意保护个人信息及财产安全,合理判断,谨慎选购商品,商家和用户对交易行为负责。对于医疗器械类产品,请先查证核实企业经营资质和医疗器械产品注册证情况。
文献和实验Hung PJ et al., Mol Cell 2018 (PMID:30017584)
Maltose-Binding Protein as a Solubility Enhancer
as a general solubilizing agent, this has not turned out to be the case. In a direct comparison with glutathione S-transferase (GST) and thioredoxin, maltose-binding protein (MBP) was decidedly superior at solubilizing a diverse collection of aggregation-prone
ANTIBODY BINDING TO PROTEIN A AND PROTEIN G
2c + ++ Sources of information: Akerstrom, B., Brodin, T., Reis, K., and Bjorck, L. 1985. Protein G: A powerful tool for binding and detection of monoclonal and polyclonal antibodies. J. Immunol. 135:2589-2592. Akerstrom, B. and Bjorck, L. 1986
Purification of MBP (maLTose-binding proteins) Fused Proteins
with 10 fractions of 10 mM maltose in 20 mM Tris pH 7.4, 200 mM NaCl, 10 mM b ME, 1 mM EDTA or in some other buffer of choice, depending on subsequent purification steps. If the fusion protein is to be cleaved with factor Xa as the next step
技术资料暂无技术资料 索取技术资料









