相关产品推荐更多 >
万千商家帮你免费找货
0 人在求购买到急需产品
- 详细信息
- 文献和实验
- 技术资料
- 免疫原:
Recombinant AGXT (330-392aa) purified from E. coli
- 亚型:
IgG2b
- 形态:
Liquid
- 保存条件:
Store as concentrated solution. Centrifuge briefly prior to opening vial. For short-term storage (1-2 weeks), store at 4ºC. For long-term storage, aliquot and store at -20ºC or below. Avoid multiple freeze-thaw cycles.
- 克隆性:
Monoclonal
- 标记物:
Unconjugated
- 适应物种:
Human
- 保质期:
12 months from the shipping date of the product.
- 抗原来源:
Human
- 目录编号:
GTX50011
- 级别:
Primary Antibodies
- 库存:
Available
- 供应商:
GeneTex
- 宿主:
Mouse
- 应用范围:
ICC/IF, ELISA
- 浓度:
1 mg/ml (Please refer to the vial label for the specific concentration.)
- 靶点:
AGXT
- 抗体英文名:
AGXT antibody [AT2T4]
- 抗体名:
AGXT 抗体 [AT2T4]
- 规格:
100 μl
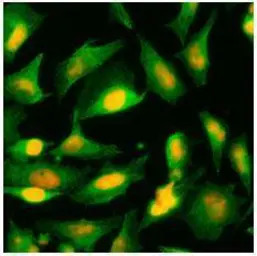
Immunofluorescence of human HeLa cells stained with PI (Red) and monoclonal anti-AGXT antibody (1:500) with Alexa 488 (Green).
风险提示:丁香通仅作为第三方平台,为商家信息发布提供平台空间。用户咨询产品时请注意保护个人信息及财产安全,合理判断,谨慎选购商品,商家和用户对交易行为负责。对于医疗器械类产品,请先查证核实企业经营资质和医疗器械产品注册证情况。
文献和实验Native Chromatin Preparation and Illumina/Solexa Library Construction
Antibody and preimmune serum for ChIP CD4+ T cell Isolation Kit II (human) (Miltenyi Biotec) Alternatively, Dynabeads Untouched Human CD4 T Cells Kit (Invitrogen) can be used (see Steps 5-21). DNA End-Repair Kit (Epicentre Biotechnologies
) with anti-T4 mouse monoclonal antibody (Ab). HRP–T4 and the HRP–T4–Ab complex were separated and quantified by using microchip electrophoresis (MCE) with chemiluminescence (CL) detection. The MCE separation was accomplished within 60
Combined 3C-ChIP-Cloning (6C) Assay: A Tool to Unravel Protein-Mediated Genome Architecture
involves conventional 3C methodology: The chromatin is cross-linked, digested with restriction enzymes, and ligated under conditions that favor intramolecular ligation. Immediately after ligation, the chromatin is immunoprecipitated using an antibody
技术资料暂无技术资料 索取技术资料








![Geminin antibody [EM6]](https://img1.dxycdn.com/2023/0711/451/6106825198874858761-14.jpg!wh200)

