相关产品推荐更多 >
万千商家帮你免费找货
0 人在求购买到急需产品
- 详细信息
- 文献和实验
- 技术资料
- 免疫原:
The antiserum was produced against synthesized peptide derived from human p53 (336-385).
- 亚型:
IgG
- 形态:
Liquid
- 保存条件:
Store as concentrated solution. Centrifuge briefly prior to opening vial. For short-term storage (1-2 weeks), store at 4ºC. For long-term storage, aliquot and store at -20ºC or below. Avoid multiple freeze-thaw cycles.
- 克隆性:
Polyclonal
- 标记物:
Unconjugated
- 适应物种:
Human, Mouse
- 保质期:
12 months from the shipping date of the product.
- 抗原来源:
Human
- 目录编号:
GTX88013
- 级别:
Primary Antibodies
- 库存:
Available
- 供应商:
GeneTex
- 宿主:
Rabbit
- 应用范围:
ICC/IF, IHC-P
- 浓度:
Batch dependent (Please refer to the vial label for the specific concentration.)
- 靶点:
p53 (acetyl Lys379)
- 抗体英文名:
p53 (acetyl Lys379) antibody
- 抗体名:
p53 (acetyl Lys379) 抗体
- 规格:
100 μg
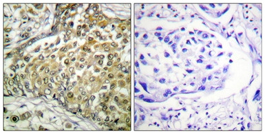
IHC-P analysis of human lung carcinoma tissue using GTX88013 p53 (acetyl Lys379) antibody. The picture on the right is blocked with the synthesized peptide.
ICC/IF analysis of HeLa cells using GTX88013 p53 (acetyl Lys379) antibody. The picture on the right is blocked with the synthesized peptide.
风险提示:丁香通仅作为第三方平台,为商家信息发布提供平台空间。用户咨询产品时请注意保护个人信息及财产安全,合理判断,谨慎选购商品,商家和用户对交易行为负责。对于医疗器械类产品,请先查证核实企业经营资质和医疗器械产品注册证情况。
文献和实验Mukherjee S et al., Oncotarget 2017 (PMID:28977833)
Mukherjee S et al., Molecules 2018 (PMID:29346317)
【求助】P53的翻译后修饰都有哪些? 怎样验证其修饰后与靶标启动子的结合活性的变化?
化,如Ser313、Ser314、Thr377、Ser378(被CHK1 ,CHK2磷酸化)、Ser366 (只被CHK2磷酸化)、Thr387 (只被CHK1磷酸化)。这些位点的磷酸化可能会改变 Lys373、Lys382乙酰化的方式,但不会改变Lys320,因此可以用来区分P300/CREB结合蛋白(CBP)和P300/CBP 相关因子(PCAF)活性[20].。 当大多数p53的磷酸化可以增强蛋白质的稳定性和活性时,一些位点的磷酸化(Thr55 、Thr155 、Ser205
人总P53蛋白(Total P53)ELISA试剂盒 说明书
上海西唐生物科技有限公司 021-55229872, 65333639 www.westang.com 人总P53 蛋白 ( Total P53 )ELISA 试剂盒 原理 本实验采用双抗体夹心 ABC-ELISA 法。用抗人 P53 单抗包被于酶标板上,标准品和样品中的 P53与单抗结合,加入生物素化的抗人 P53 ,形成免疫复合物连接在板上,辣根
豚鼠总P53蛋白(Total P53)ELISA试剂盒 说明书
上海西唐生物科技有限公司 021-55229872, 65333639 www.westang.com 豚鼠总P53 蛋白 ( Total P53 )ELISA 试剂盒 原理 本实验采用双抗体夹心 ABC-ELISA 法。用抗豚鼠 P53 单抗包被于酶标板上,标准品和样品中的 P53与单抗结合,加入生物素化的抗豚鼠 P53 ,形成免疫复合物连接在板上,辣根
技术资料暂无技术资料 索取技术资料






![Endothelial Lipase / LIPG antibody [7C2]](https://img1.dxycdn.com/2023/0711/451/6106825198874858761-14.jpg!wh200)


