相关产品推荐更多 >
万千商家帮你免费找货
0 人在求购买到急需产品
- 详细信息
- 文献和实验
- 技术资料
- 免疫原:
Synthetic peptide taken within amino acid region 1-50 on rat Asc-type amino acid transporter 1 protein.
- 亚型:
IgG
- 形态:
Liquid
- 保存条件:
Store as concentrated solution. Centrifuge briefly prior to opening vial. For short-term storage (1-2 weeks), store at 4ºC. For long-term storage, aliquot and store at -20ºC or below. Avoid multiple freeze-thaw cycles.
- 克隆性:
Polyclonal
- 标记物:
Unconjugated
- 适应物种:
Human, Mouse, Rat
- 保质期:
12 months from the shipping date of the product.
- 抗原来源:
Rat
- 目录编号:
GTX47874
- 级别:
Primary Antibodies
- 库存:
Available
- 供应商:
GeneTex
- 宿主:
Rabbit
- 应用范围:
WB, ICC/IF, IHC-P, IHC-Fr, IP, ELISA
- 浓度:
0.50-0.75 mg/ml (Please refer to the vial label for the specific concentration.)
- 靶点:
SLC7A10
- 抗体英文名:
SLC7A10 antibody (N-terminal)
- 抗体名:
SLC7A10 抗体 (N-terminal)
- 规格:
100 μg
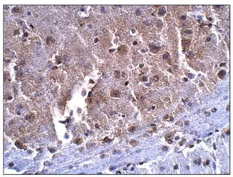
IHC-P analysis of mouse brain tissue using GTX47874 SLC7A10 antibody (N-terminal).
Dilution : 1:50
WB analysis of SK-N-MC cell lysate using GTX47874 SLC7A10 antibody (N-terminal).
Dilution : 1:500
风险提示:丁香通仅作为第三方平台,为商家信息发布提供平台空间。用户咨询产品时请注意保护个人信息及财产安全,合理判断,谨慎选购商品,商家和用户对交易行为负责。对于医疗器械类产品,请先查证核实企业经营资质和医疗器械产品注册证情况。
文献和实验Tatsumi K et al., Mol Brain 2021 (PMID:34749773)
In the field of therapeutic recombinant proteins, monoclonal antibodies (mAbs) have achieved a rising success with more than 30 mAbs that have reached the market in the past 20 years. From a structural standpoint, one of the most important
Detection of Terminal Transferase in Leukemia
The mere presence of terminal deoxynucleotidyl transferase (TdT), a DNA polymerase, in leukemic cells provides no help in assigning these blast cells to a particular cell lineage (1 ). Differential levels of TdT gene transcription
How Do I make an Antibody against a Peptides
If your peptide is synthesized with a terminal cysteine residue (i.e., a free sulfhydryl group, -SH), you can use any maleimide-activated carrier protein to create an immunogen. One-step chemical reactions are easy with Pierce Sulfo-SMCC Pre
技术资料暂无技术资料 索取技术资料





![ZNF148 antibody [N1N2], N-term](https://img1.dxycdn.com/2023/0516/045/6925717576889828561-14.jpg!wh200)

![CD18 antibody [TA-4]](https://img1.dxycdn.com/2023/0711/451/6106825198874858761-14.jpg!wh200)


