相关产品推荐更多 >
万千商家帮你免费找货
0 人在求购买到急需产品
- 详细信息
- 文献和实验
- 技术资料
- 免疫原:
The antiserum was produced against synthesized peptide derived from human AS250 (641-690).
- 亚型:
IgG
- 形态:
Liquid
- 保存条件:
Store as concentrated solution. Centrifuge briefly prior to opening vial. For short-term storage (1-2 weeks), store at 4ºC. For long-term storage, aliquot and store at -20ºC or below. Avoid multiple freeze-thaw cycles.
- 克隆性:
Polyclonal
- 标记物:
Unconjugated
- 适应物种:
Human
- 保质期:
12 months from the shipping date of the product.
- 抗原来源:
Human
- 目录编号:
GTX87983
- 级别:
Primary Antibodies
- 库存:
Available
- 供应商:
GeneTex
- 宿主:
Rabbit
- 应用范围:
WB, ICC/IF, IHC-P
- 浓度:
Batch dependent (Please refer to the vial label for the specific concentration.)
- 靶点:
AS250
- 抗体英文名:
AS250 antibody
- 抗体名:
AS250 抗体
- 规格:
100 μg
ICC/IF analysis of HeLa cells using GTX87983 AS250 antibody. The picture on the right is blocked with the synthesized peptide.
WB analysis of Jurkat cell lysates using GTX87983 AS250 antibody. The lane on the right is blocked with the synthesized peptide.
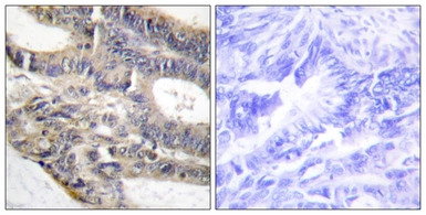
IHC-P analysis of human colon carcinoma tissue using GTX87983 AS250 antibody. The picture on the right is blocked with the synthesized peptide.
风险提示:丁香通仅作为第三方平台,为商家信息发布提供平台空间。用户咨询产品时请注意保护个人信息及财产安全,合理判断,谨慎选购商品,商家和用户对交易行为负责。对于医疗器械类产品,请先查证核实企业经营资质和医疗器械产品注册证情况。
文献和实验一般R250 染蛋白,G250 一般测蛋白浓度,也可染胶,敏感性更高但较慢脱色较难。 G250常用的蛋白染料,作定性试验用,染色后为蓝绿色;R250较敏感,,做定量实验用,染胶效果较好.染色后为红蓝色 考马斯亮蓝R250(Coomassie brilliant blue R250)。C45H44O7H3S2Na,MW=824,λmax
Generation of Antibody Molecules Through Antibody Engineering
been overcome to a large extent using genetic-engineering techniques to produce chimeric mouse/human and completely human antibodies. Such an approach is particularly suitable because of the domain structure of the antibody molecule ( 2 ), where functional
一、目的 学习和掌握考马斯亮蓝G-250 测定蛋白质含量的原理和方法。二、原理 考马斯亮蓝G-250(Coomassie brilliant blue G-250)测定蛋白质含量属于染料结合法的一种。考马斯亮蓝G-250 在游离状态下呈红色,最大光吸收在488nm;当它与蛋白质结合后变为青色,蛋白质-色素结合物在595nm 波长下有最大光吸收。其光吸收值与蛋白质含量成正比,因此可用于蛋白
技术资料暂无技术资料 索取技术资料







![Mouse anti Pig IgA antibody [K60 1F1]](https://img1.dxycdn.com/2023/0711/451/6106825198874858761-14.jpg!wh200)

