相关产品推荐更多 >
万千商家帮你免费找货
0 人在求购买到急需产品
- 详细信息
- 文献和实验
- 技术资料
- 免疫原:
Full length human recombinant protein of human Tristetraprolin (NP_003398) produced in HEK293T cell.
- 亚型:
IgG1
- 形态:
Liquid
- 保存条件:
Store as concentrated solution. Centrifuge briefly prior to opening vial. For short-term storage (1-2 weeks), store at 4ºC. For long-term storage, aliquot and store at -20ºC or below. Avoid multiple freeze-thaw cycles.
- 克隆性:
Monoclonal
- 标记物:
Unconjugated
- 适应物种:
Human, Mouse, Dog, Monkey
- 保质期:
12 months from the shipping date of the product.
- 抗原来源:
Human
- 目录编号:
GTX83404
- 级别:
Primary Antibodies
- 库存:
Available
- 供应商:
GeneTex
- 宿主:
Mouse
- 应用范围:
WB, ICC/IF, IHC-P, FACS
- 浓度:
1 mg/ml (Please refer to the vial label for the specific concentration.)
- 靶点:
Tristetraprolin
- 抗体英文名:
Tristetraprolin antibody [8B5]
- 抗体名:
Tristetraprolin 抗体 [8B5]
- 规格:
100 μl
WB analysis of HEK293T cells transfected with Tristetraprolin plasmid (Left) or empty vector (Right) for 48 hrs using GTX83404 Tristetraprolin antibody [8B5].
Loading : 5 ug per lane
IHC-P analysis of human prostate tissue using GTX83404 Tristetraprolin antibody [8B5].
Antigen retrieval : Heat-induced epitope retrieval by 10mM citrate buffer, pH6.0, 100ºC for 10min.
WB analysis of various cell lines using GTX83404 Tristetraprolin antibody [8B5].
Loading : 10 ug per lane
Dilution : 1:200
IHC-P analysis of human ovary tissue using GTX83404 Tristetraprolin antibody [8B5].
Antigen retrieval : Heat-induced epitope retrieval by 10mM citrate buffer, pH6.0, 100ºC for 10min.
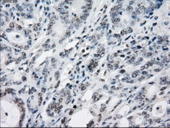
IHC-P analysis of human colon adenocarcinoma tissue using GTX83404 Tristetraprolin antibody [8B5].
Antigen retrieval : Heat-induced epitope retrieval by 10mM citrate buffer, pH6.0, 100ºC for 10min.
IHC-P analysis of human colon tissue using GTX83404 Tristetraprolin antibody [8B5].
Antigen retrieval : Heat-induced epitope retrieval by 10mM citrate buffer, pH6.0, 100ºC for 10min.
ICC/IF analysis of COS7 cells transiently transfected with Tristetraprolin plasmid using GTX83404 Tristetraprolin antibody [8B5].
FACS analysis of HEK293T cells transfected with either Tristetraprolin plasmid(Red) or empty vector control plasmid(Blue) using GTX83404 Tristetraprolin antibody [8B5].
IHC-P analysis of human endometrium tissue using GTX83404 Tristetraprolin antibody [8B5].
Antigen retrieval : Heat-induced epitope retrieval by 10mM citrate buffer, pH6.0, 100ºC for 10min.
风险提示:丁香通仅作为第三方平台,为商家信息发布提供平台空间。用户咨询产品时请注意保护个人信息及财产安全,合理判断,谨慎选购商品,商家和用户对交易行为负责。对于医疗器械类产品,请先查证核实企业经营资质和医疗器械产品注册证情况。
文献和实验binding protein. RNA, 2006. 12(10): p. 1853-67. 18. Stoecklin, G., et al., Genome-wide analysis identifies interleukin-10 mRNA as target of tristetraprolin. J Biol Chem, 2008. 283(17): p. 11689-99. 19. Walker, S.C., et al., RNA affinity tags
技术资料暂无技术资料 索取技术资料






![CD34 antibody [ICO-115]](https://img1.dxycdn.com/2023/0711/451/6106825198874858761-14.jpg!wh200)



