相关产品推荐更多 >
万千商家帮你免费找货
0 人在求购买到急需产品
- 详细信息
- 文献和实验
- 技术资料
- 免疫原:
Recombinant human CA9 protein
- 亚型:
IgG2b
- 形态:
Liquid
- 保存条件:
Store as concentrated solution. Centrifuge briefly prior to opening vial. For short-term storage (1-2 weeks), store at 4ºC. For long-term storage, aliquot and store at -20ºC or below. Avoid multiple freeze-thaw cycles.
- 克隆性:
Monoclonal
- 标记物:
Unconjugated
- 适应物种:
Human, Horse
- 保质期:
12 months from the shipping date of the product.
- 抗原来源:
Human
- 目录编号:
GTX34452
- 级别:
Primary Antibodies
- 库存:
Available
- 供应商:
GeneTex
- 宿主:
Mouse
- 应用范围:
WB, IHC-P
- 浓度:
0.2 mg/ml (Please refer to the vial label for the specific concentration.)
- 靶点:
Carbonic Anhydrase IX
- 抗体英文名:
Carbonic Anhydrase IX antibody [CA9/781]
- 抗体名:
Carbonic Anhydrase IX 抗体 [CA9/781]
- 规格:
100 μg
WB analysis of HCT116 cell lysate using GTX34452 Carbonic Anhydrase IX antibody [CA9/781].
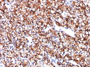
IHC-P analysis of human renal cell carcinoma tissue using GTX34452 Carbonic Anhydrase IX antibody [CA9/781].
风险提示:丁香通仅作为第三方平台,为商家信息发布提供平台空间。用户咨询产品时请注意保护个人信息及财产安全,合理判断,谨慎选购商品,商家和用户对交易行为负责。对于医疗器械类产品,请先查证核实企业经营资质和医疗器械产品注册证情况。
文献和实验【Jounal club】NATURE MEDICINE: 利用蛋白组技术发现糖尿病眼底病变新机制
News and Views: A prize catch for diabetic retinopathy Nature Medicine - 13, 131 - 132 (2007) Article: Extracellular carbonic anhydrase mediates hemorrhagic retinal and cerebral vascular permeability through prekallikrein activation Nature
carbonic anhydrase B, J. Biol. Chem. 267 (1992) 13327-13334. 51. X.D. Geng, X.Q. Chang, High performance hydrophobic interaction chromatography as a tool for protein refolding, J. Chromatogr. A 599 (1992) 185-194. 52. J.D. Carlson, M.L. Yarmush
【资源】全面归类网址:毕赤酵母表达各种来源蛋白(细菌,真菌,植物,人类等)
Porcine follicle-stimulating hormoneS, 10 mg/L, PHO1[174]Porcine inhibitor of carbonic anhydrase (transferrin family)S, 5 mg/L, α-MF[175]Porcine single-chain interleukin-12S, 4 mg/L,α-MF, active370Porcine leukocyte 12-lipoxygenaseI[176]Porcine lactoferrinS
技术资料暂无技术资料 索取技术资料








