相关产品推荐更多 >
万千商家帮你免费找货
0 人在求购买到急需产品
- 详细信息
- 文献和实验
- 技术资料
- 免疫原:
A synthetic peptide corresponding to a C-terminal region of Human PCNA
- 亚型:
IgG
- 形态:
Liquid
- 保存条件:
Store as concentrated solution. Centrifuge briefly prior to opening vial. For short-term storage (1-2 weeks), store at 4ºC. For long-term storage, aliquot and store at -20ºC or below. Avoid multiple freeze-thaw cycles.
- 克隆性:
Polyclonal
- 标记物:
Unconjugated
- 适应物种:
Human
- 保质期:
12 months from the shipping date of the product.
- 抗原来源:
Human
- 目录编号:
GTX77666
- 级别:
Primary Antibodies
- 库存:
Available
- 供应商:
GeneTex
- 宿主:
Rabbit
- 应用范围:
WB, ICC/IF, IHC-P
- 浓度:
0.5-1 mg/ml (Please refer to the vial label for the specific concentration.)
- 靶点:
PCNA
- 抗体英文名:
PCNA antibody, C-term
- 抗体名:
PCNA 抗体, C-term
- 规格:
100 μg
WB analysis of HepG2 cells using GTX77666 PCNA antibody at 1.25μg/ml.
ICC/IF analysis of NT-2 cells using GTX77666 PCNA antibody at 1:500.
Red : PCNA
Blue : DAPI
WB analysis of NT-2 cells using GTX77666 PCNA antibody at 2μg/ml.
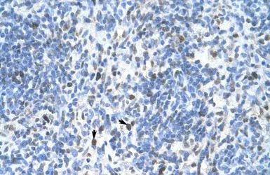
IHC-P analysis of human spleen tissue using GTX77666 PCNA antibody at 4.0-8.0μg/ml.
风险提示:丁香通仅作为第三方平台,为商家信息发布提供平台空间。用户咨询产品时请注意保护个人信息及财产安全,合理判断,谨慎选购商品,商家和用户对交易行为负责。对于医疗器械类产品,请先查证核实企业经营资质和医疗器械产品注册证情况。
文献和实验Flow Cytometric Detection of Proliferation-Associated Antigens, PCNA and Ki-67
The rapid evolution of monoclonal antibody (MAb) technology has resulted in an ever-growing repertoire of proteins becoming accessible for study using immunohistochemical techniques. Nuclear antigens represent a class of proteins
【求助】谢谢,请问ki67、PCNA、P53的英文全称是什么?
in conserving stability by preventing genome mutation. PCNA:Proliferating Cell Nuclear Antigen Antigen identified by monoclonal antibody Ki-67 also known as Ki-67 or MKI67 is a protein which in humans is encoded by the MKI67 gene 做科研要学会查,不要不懂就问
上海西唐生物科技有限公司 021-55229872, 65333639 www.westang.com 人增殖细胞核抗原 (PCNA)ELISA 试剂盒 ( 用于血清、血浆、细胞培养上清液和其它生物体液内 ) 原理 本实验采用双抗体夹心 ABC-ELISA 法。用抗人 PCNA 单抗包被于酶标板上,标准品和样品中的 PCNA与单抗结合,加入生物素化的抗人 PCNA ,形成免疫
技术资料暂无技术资料 索取技术资料





![KIF4A antibody [N1N2], N-term](https://img1.dxycdn.com/2023/0516/407/0466332107306928561-14.jpg!wh200)

![Integrin beta 1 / CD29 antibody [MEM-101A]](https://img1.dxycdn.com/2023/0711/451/6106825198874858761-14.jpg!wh200)

