相关产品推荐更多 >
万千商家帮你免费找货
0 人在求购买到急需产品
- 详细信息
- 文献和实验
- 技术资料
- 免疫原:
BALB/C mice were immunized with human breast carcinoma cell line, MCF-7.
- 亚型:
IgG1
- 形态:
Liquid
- 保存条件:
Store as concentrated solution. Centrifuge briefly prior to opening vial. Store at 4ºC.
- 克隆性:
Monoclonal
- 标记物:
Unconjugated
- 适应物种:
Human
- 保质期:
12 months from the shipping date of the product.
- 抗原来源:
Human
- 目录编号:
GTX73737
- 级别:
Primary Antibodies
- 库存:
Available
- 供应商:
GeneTex
- 宿主:
Mouse
- 应用范围:
IHC-P
- 浓度:
Batch dependent (Please refer to the vial label for the specific concentration.)
- 靶点:
Epithelial antigen
- 抗体英文名:
Epithelial antigen antibody [Ber-EP4]
- 抗体名:
Epithelial antigen 抗体 [Ber-EP4]
- 规格:
1 ml
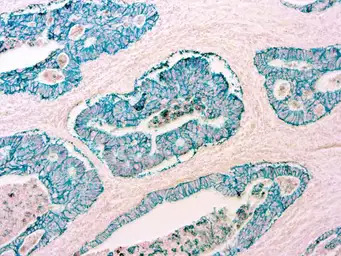
IHC-P analysis of human colon tissue using GTX73737 Epithelial antigen antibody [Ber-EP4] with GTX03613 Purple Hematoxylin.
IHC-P analysis of human breast carcinoma tissue using GTX73737 Epithelial antigen antibody [Ber-EP4].
风险提示:丁香通仅作为第三方平台,为商家信息发布提供平台空间。用户咨询产品时请注意保护个人信息及财产安全,合理判断,谨慎选购商品,商家和用户对交易行为负责。对于医疗器械类产品,请先查证核实企业经营资质和医疗器械产品注册证情况。
文献和实验Crystallographic Studies of Antigen-Antibody Interactions
X-ray crystallography provides a powerful tool for the study of antigen- antibody interactions. Information provided by crystallographic studies of antigen-antibody complexes includes the topological description of intermolecular contacts
The Use of Antigen Microarrays in Antibody Profiling
Technological advances in the field of microarray production and analysis lead to the development of protein microarrays. Of these, antigen microarrays are one particular format that allows the study of antigen–antibody interactions
Probing Antibody-Antigen Interactions by Mass Spectrometry
by Suckau (10 ), who compared the pattern of proteolytic digestion of free peptide antigen with the pattern produced from the antigen bound to an antibody. Alternatively, these workers subjected the peptide to proteolytic digestion and identified products
技术资料暂无技术资料 索取技术资料









