相关产品推荐更多 >
万千商家帮你免费找货
0 人在求购买到急需产品
- 详细信息
- 文献和实验
- 技术资料
- 免疫原:
Synthetic 17 amino acid peptide from 3rd cytoplasmic domain of human LPAR4 / GPR23.
- 亚型:
IgG
- 形态:
Liquid
- 保存条件:
Store as concentrated solution. Centrifuge briefly prior to opening vial. For short-term storage (1-2 weeks), store at 4ºC. For long-term storage, aliquot and store at -20ºC or below. Avoid multiple freeze-thaw cycles.
- 克隆性:
Polyclonal
- 标记物:
Unconjugated
- 适应物种:
Human, Mouse, Rat, Rabbit, Dog, Hamster, Monkey, Bat, Horse
- 保质期:
12 months from the shipping date of the product.
- 抗原来源:
Human
- 目录编号:
GTX70997
- 级别:
Primary Antibodies
- 库存:
Available
- 供应商:
GeneTex
- 宿主:
Rabbit
- 应用范围:
IHC-P
- 浓度:
1 mg/ml (Please refer to the vial label for the specific concentration.)
- 靶点:
GPR23
- 抗体英文名:
GPR23 antibody
- 抗体名:
GPR23 抗体
- 规格:
25 μg
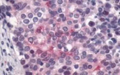
IHC-P analysis of breast, adenocarcinoma tissue using GTX70997 GPR23 antibody.
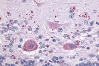
IHC-P analysis of human brain, cerebellum tissue using GTX70997 GPR23 antibody.
Antigen retrieval : Heat-induced antigen retrieval
风险提示:丁香通仅作为第三方平台,为商家信息发布提供平台空间。用户咨询产品时请注意保护个人信息及财产安全,合理判断,谨慎选购商品,商家和用户对交易行为负责。对于医疗器械类产品,请先查证核实企业经营资质和医疗器械产品注册证情况。
文献和实验NSMB:徐华强 / 谢欣 / 蒋轶发现孤儿受体 GPR119 内源性配体的分子机制
糖尿病、脂肪肝和肥胖症等代谢性疾病已经成为影响人类健康的一大「杀手」,研究显示一些孤儿受体可能成为治疗这些疾病的重要靶点。 GPR119 又被称为葡萄糖依赖的促胰岛素受体(Glucose-dependent insulinotropic receptor),是 G 蛋白偶联受体(GPCR)超家族中的一种孤儿受体。由于其在糖代谢调控中的作用,GPR119 被认为是一种治疗糖尿病、脂肪肝和肥胖症等代谢性疾病的潜在药物靶点。GPR119 主要分布在胰岛 β 细胞和胃肠道 L 细胞,调节葡萄糖依赖
你那里天气怎么样?柚子这里已经被高温侵袭啦!又快到吹着空调吃西瓜的日子了呢。《Cell Stem Cell》杂志是2007年Cell出版社新增两名新成员之一(另外一个杂志是Cell Host & Microbe),这一杂志内容涵盖了从最基本的细胞和发育机制到医疗软件临床应用等整个干细胞生物学研究内容。这一杂志特别关注胚胎干细胞、组织特异性和癌症干细胞的最新成果。《Cell Stem Cell》自创刊以来就倍受关注,影响因子迅速提升,从0一冲至16.826,又达到了23.394。其中最受关注
4.23 丁香实验科研午间快讯(每日更新)①Cell Stem Cell八大热点文章(4月)《Cell Stem Cell》杂志是2007年Cell出版社新增两名新成员之一(另外一个杂志是Cell Host & Microbe),这一杂志内容涵盖了从最基本的细胞和发育机制到医疗软件临床应用等整个干细胞生物学研究内容。这一杂志特别关注胚胎干细胞、组织特异性和癌症干细胞的最新成果。《Cell Stem Cell》自创刊以来就倍受关注,影响因子迅速提升,从0一冲至16.826,又达到了23.394
技术资料暂无技术资料 索取技术资料







![Cytochrome C antibody [CYCS/1010]](https://img1.dxycdn.com/2023/0711/451/6106825198874858761-14.jpg!wh200)
![alpha Glucosidase II antibody [N1N2], N-term](https://img1.dxycdn.com/2023/0516/045/6925717576889828561-14.jpg!wh200)

