相关产品推荐更多 >
万千商家帮你免费找货
0 人在求购买到急需产品
- 详细信息
- 文献和实验
- 技术资料
- 免疫原:
Recombinant protein expressed in E. coli corresponding to amino acids 980-1512.
- 亚型:
IgG1
- 形态:
Liquid
- 保存条件:
Store as concentrated solution. Centrifuge briefly prior to opening vial. For short-term storage (1-2 weeks), store at 4ºC. For long-term storage, aliquot and store at -20ºC or below. Avoid multiple freeze-thaw cycles.
- 克隆性:
Monoclonal
- 标记物:
Unconjugated
- 适应物种:
Human, Mouse, Rat, Monkey
- 保质期:
12 months from the shipping date of the product.
- 抗原来源:
Human
- 目录编号:
GTX70105
- 级别:
Primary Antibodies
- 库存:
Available
- 供应商:
GeneTex
- 宿主:
Mouse
- 应用范围:
WB, IHC-P, IP
- 浓度:
0.7 mg/ml (Please refer to the vial label for the specific concentration.)
- 靶点:
ATM
- 抗体英文名:
ATM antibody [3E8]
- 抗体名:
ATM 抗体 [3E8]
- 规格:
100 μl
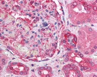
Human Kidney (formalin-fixed, paraffin-embedded) stained with ATM antibody at 5 μg/ml followed by biotinylated anti-mouse IgG secondary antibody, alkaline phosphatase-streptavidin and chromogen.
HeLa whole cell and nuclear extracts (30 μg) were separated by 5% SDS-PAGE, and the membrane was blotted with ATM antibody [3E8] (GTX70105) diluted at 1:500. The HRP-conjugated anti-mouse IgG antibody (GTX213111-01) was used to detect the primary antibody, and the signal was developed with Trident femto Western HRP Substrate.
Immunohistochemical analysis of paraffin-embedded C2C12 xenograft, using ATM(GTX70105) antibody at 1:200 dilution.
Immunohistochemical analysis of paraffin-embedded U373 xenograft, using ATM(GTX70105) antibody at 1:200 dilution.
Immunohistochemical analysis of paraffin-embedded RT2 xenograft, using ATM(GTX70105) antibody at 1:200 dilution.
风险提示:丁香通仅作为第三方平台,为商家信息发布提供平台空间。用户咨询产品时请注意保护个人信息及财产安全,合理判断,谨慎选购商品,商家和用户对交易行为负责。对于医疗器械类产品,请先查证核实企业经营资质和医疗器械产品注册证情况。
文献和实验Bai L et al., Gastroenterology 2006 (PMID:16952553)
Shiotani B et al., Mol Cancer Res 2006 (PMID:16513843)
Fini L et al., Carcinogenesis 2008 (PMID:17999988)
Analyzing the Regulation and Function of ATM
activity is measured using p531–44 -specific substrate or by immunoblotting extracts with an anti-phosphoserine 15 p53-specific antibody. Missense mutations affecting ATM kinase activity are detected using in vitro mutagenesis of ATM cDNA followed
祝贺〖雅裕睿安〗成为Signalway Antibody(SAB)独家
祝贺〖上海雅裕 〗成为 Signalway Antibody 品牌 (SAB) 的独家总代理。 促销【 ABCD 】细则如下: 【 A 】 买两支 SAB 抗体免费获得 8G 优盘 活动时间:即日起,至 2011 年
domains as well as ataxia telangiectasia mutated (ATM) protein kinase in cells treated with inhibitors of DNA replication. Phosphorylation of these proteins is detected in individual cell immunocytochemically with phospho-specific antibody (Ab
技术资料暂无技术资料 索取技术资料





![CD26 antibody [CC69]](https://custom.dxycdn.com/trademd/upload/pic/2011/12/14/1323695851.jpg!small.t.1)


![Wnt8a antibody [HL1648]](https://img1.dxycdn.com/2023/0711/058/8406876405285858761-14.jpg!wh200)

