相关产品推荐更多 >
万千商家帮你免费找货
0 人在求购买到急需产品
- 详细信息
- 文献和实验
- 技术资料
- 免疫原:
The antiserum was produced against a chemically synthesized peptide derived from an internal region of the human m-opioid receptor.
- 亚型:
IgG
- 形态:
Liquid
- 保存条件:
Store as concentrated solution. Centrifuge briefly prior to opening vial. For short-term storage (1-2 weeks), store at 4ºC. For long-term storage, aliquot and store at -20ºC or below. Avoid multiple freeze-thaw cycles.
- 克隆性:
Polyclonal
- 标记物:
Unconjugated
- 适应物种:
Human, Mouse, Rat, Rabbit
- 保质期:
12 months from the shipping date of the product.
- 抗原来源:
Human
- 目录编号:
GTX17934
- 级别:
Primary Antibodies
- 库存:
Available
- 供应商:
GeneTex
- 宿主:
Rabbit
- 应用范围:
WB, ICC/IF, FACS, IHC
- 浓度:
Batch dependent (Please refer to the vial label for the specific concentration.)
- 靶点:
Mu Opioid receptor
- 抗体英文名:
Mu Opioid receptor antibody
- 抗体名:
Mu Opioid receptor 抗体
- 规格:
50 μl
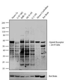
WB analysis of membrane enriched extracts (30 μg lysate) of Neuro-2a (Lane 1), U-87 MG (Lane 2), IMR-32 (Lane 3), SK-N-AS (Lane 4), U-2 OS (Lane 5) and tissue extracts of Mouse Cerebellum (Lane 6) and Rat Brain (Lane 7) using GTX17934 Mu Opioid receptor antibody.
Dilution : 1:250
WB analysis of rat brain lysates using GTX17934 Mu Opioid receptor antibody.
ICC/IF analysis of Neuro-2A cells using GTX17934 Mu Opioid receptor antibody. Panel e is a no primary antibody control.
Green : Primary antibody
Blue : Nuclei
Red : Actin
Fixation : 4% PFA
Permeabilization : 0.1% Triton X-100 for 10 minutes
Dilution : 1:250 dilution in 0.1% BSA and incubated for 3 hours at room temperature
风险提示:丁香通仅作为第三方平台,为商家信息发布提供平台空间。用户咨询产品时请注意保护个人信息及财产安全,合理判断,谨慎选购商品,商家和用户对交易行为负责。对于医疗器械类产品,请先查证核实企业经营资质和医疗器械产品注册证情况。
文献和实验Mu-opioid receptor (MOR) belongs to a family of heptahelical G-protein-coupled receptors (GPCRs). Studies in humans and rodents demonstrated that the OPRM1 gene coding for MOR undergoes extensive alternative splicing afforded
In Vitro Opioid Receptor Assays
analgesics have been used for centuries, identification of opioid receptors and the ability of an opioid receptor antagonist to block natural pain processes prompted a search for endogenous opioid peptides. In vitro models were needed to characterize opioid
Opioid Receptor Oligomerization: Detection and Functional Characterization of Interacting Receptors
Opioid receptors are members of the G-protein coupled receptor (GPCR) family characterized by the presence of seven transmembrane domains. These receptors are classified as mu (μ), delta (δ), and kappa (κ). Activation of these receptors leads
技术资料暂无技术资料 索取技术资料





![CD200 antibody [MRC OX-2] (PE)](https://img1.dxycdn.com/2023/0711/451/6106825198874858761-14.jpg!wh200)



