相关产品推荐更多 >
万千商家帮你免费找货
0 人在求购买到急需产品
- 详细信息
- 文献和实验
- 技术资料
- 免疫原:
Synthetic peptide: GMSEACLHRKSHSERRSTLK, corresponding to N terminal amino acids 31-50 of Human Thyroid Hormone Receptor beta.
- 亚型:
IgG1
- 形态:
Liquid
- 保存条件:
Store as concentrated solution. Centrifuge briefly prior to opening vial. Store at 4ºC.
- 克隆性:
Monoclonal
- 标记物:
Unconjugated
- 适应物种:
Human, Dog
- 保质期:
12 months from the shipping date of the product.
- 抗原来源:
Human
- 目录编号:
GTX17898
- 级别:
Primary Antibodies
- 库存:
Available
- 供应商:
GeneTex
- 宿主:
Mouse
- 应用范围:
IHC-P
- 浓度:
0.2 mg/ml (Please refer to the vial label for the specific concentration.)
- 靶点:
Recognises human thyroid receptor beta, does not recognise alpha 1 and alpha 2 isotypes.
- 抗体英文名:
Thyroid Hormone Receptor beta antibody [SPM222]
- 抗体名:
Thyroid Hormone Receptor beta 抗体 [SPM222]
- 规格:
250 μl
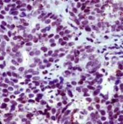
Immunohistochemistry using GTX17898 on human colon carcinoma at 1/50
风险提示:丁香通仅作为第三方平台,为商家信息发布提供平台空间。用户咨询产品时请注意保护个人信息及财产安全,合理判断,谨慎选购商品,商家和用户对交易行为负责。对于医疗器械类产品,请先查证核实企业经营资质和医疗器械产品注册证情况。
文献和实验Transcriptional Regulation by Thyroid Hormone Receptor in Chromatin
structure has an important role in regulating gene expression and that transcription factors can actively recruit chromatinremodeling enzymes to regulate transcription of their target genes positively or negatively (3 -6 ). In this regard, thyroid hormone
Gene Regulation by Thyroid Hormone Receptors
The transfection and overexpression of the cDNA encoding the thyroid hormone receptor (TR) in mammalian cells has shed light into several aspects of the function and biological characteristics of the TR in cells. Using this method
The Role of Thyroid Hormone Receptors in the Heart
out to investigate the effects of a mutant thyroid hormone receptor β1 expressed in the heart. The mutated cDNA was originally cloned from a human patient by Usala et al. (1 ) and had been sequenced to reveal a 3 bp deletion at positions 1295-1297, which led
技术资料暂无技术资料 索取技术资料





![LAMP2 antibody [GL2A7]](https://custom.dxycdn.com/trademd/upload/pic/2011/12/14/1323695840.jpg!small.t.1)
![TNF alpha antibody [Q36]](https://img1.dxycdn.com/2023/0711/451/6106825198874858761-14.jpg!wh200)
![SNAP25 antibody [SP12]](https://custom.dxycdn.com/trademd/upload/pic/2011/12/20/1324015994.jpg!small.t.1)



