相关产品推荐更多 >
万千商家帮你免费找货
0 人在求购买到急需产品
- 详细信息
- 文献和实验
- 技术资料
- 免疫原:
A synthetic peptide made to an internal region of the mouse VEGF Receptor 1 protein (between residues 800-900) [UniProt# P35969]. There is 87% identity between the immunogen used for this production and the VEGF Receptor 2 protein.
- 亚型:
IgG
- 形态:
Liquid
- 保存条件:
Store as concentrated solution. Centrifuge briefly prior to opening vial. Store at 4ºC. DO NOT FREEZE.
- 克隆性:
Polyclonal
- 标记物:
Unconjugated
- 适应物种:
Human, Mouse, Rat
- 保质期:
12 months from the shipping date of the product.
- 抗原来源:
Mouse
- 目录编号:
GTX30653
- 级别:
Primary Antibodies
- 库存:
Available
- 供应商:
GeneTex
- 宿主:
Rabbit
- 应用范围:
WB, ICC/IF, IHC-P
- 浓度:
1 mg/ml (Please refer to the vial label for the specific concentration.)
- 靶点:
This antibody targets VEGFR-1 but has significant cross-reactivity with the VEGFR-2 protein.
- 抗体英文名:
VEGF Receptor 1 antibody
- 抗体名:
VEGF Receptor 1 抗体
- 规格:
100 μl
ICC/IF analysis of HeLa cells using GTX30653 VEGF Receptor 1 antibody.
Green : primary antibody
Red : Tubulin
Blue : DAPI
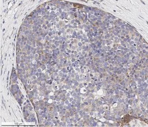
IHC-P analysis of human breast carcinoma tissue using GTX30653 VEGF Receptor 1 antibody.
Dilution : 1:500
Antigen retrieval : Heat induced antigen retrieval (HIER) using 10mM sodium citrate buffer (pH 6.0)
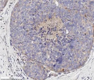
IHC-P analysis of human breast carcinoma tissue using GTX30653 VEGF Receptor 1 antibody.
Dilution : 1:500
Antigen retrieval : Heat induced antigen retrieval (HIER) using 10mM sodium citrate buffer (pH 6.0)
风险提示:丁香通仅作为第三方平台,为商家信息发布提供平台空间。用户咨询产品时请注意保护个人信息及财产安全,合理判断,谨慎选购商品,商家和用户对交易行为负责。对于医疗器械类产品,请先查证核实企业经营资质和医疗器械产品注册证情况。
文献和实验【求助】求助VEGF and Tenascin and Aggrecan
jellyfish102 Tenascin和Aggrecan与VEGF之间是什么关系,Tenascin和Aggrecan是VEGF的下游基因吗,课题需要,请专家答疑,谢谢。 chuckdouble 不是专家的个人意见 首先, 是否***因子是***因子的上游或下游 这种问题, 需要具体到哪种模型, 哪种细胞, 哪种亚型. 不然一般不存在答案. tenascin 是个家族, 有 TNC
dscgu 迄今已发现了VEGF的三种酪氨酸蛋白激酶受体,分别是VEGFR-1(flt-1)、VEGFR-2(flk-1,也称KDR)、VEGFR-3(flt-4)。 是否能选择性抑制VEGFR-1(flt-1)、VEGFR-2(flk-1,也称KDR)、 freecell ZM323881, a VEGF receptor (Flk-1)-specific inhibitor http://www.ncbi
Science:延长小鼠寿命 50%!提升 VEGF 水平可
通路的维持可改善组织灌注和氧合为了确定在衰老过程中不能维持足够的微血管密度是否由 VEGF 信号不足引起,他们采用双转基因「Tet-off」小鼠平台,即将肝细胞产生的转基因 VEGF 持续释放到体循环中。因此,在这些小鼠中,从成年早期到成年中期以及整个生命周期中,其循环 VEGF 水平是稳态下的两倍。检测结果表明,VEGF 信号在 24 月龄对照组小鼠中受到抑制,但在同窝的 VEGF 小鼠中没有受到抑制,并且其保持了年轻状态的 VEGF 受体 2(VEGF receptor 2, VEGFR2)磷酸
技术资料暂无技术资料 索取技术资料








![Cyclin B1 antibody [SPM619]](https://img1.dxycdn.com/2023/0711/451/6106825198874858761-14.jpg!wh200)

