相关产品推荐更多 >
万千商家帮你免费找货
0 人在求购买到急需产品
- 详细信息
- 询价记录
- 文献和实验
- 技术资料
- 免疫原:
A peptide derived from the mouse/human HIF2 alpha.
- 亚型:
IgG
- 形态:
Liquid
- 保存条件:
Store as concentrated solution. Centrifuge briefly prior to opening vial. For short-term storage (1-2 weeks), store at 4ºC. For long-term storage, aliquot and store at -20ºC or below. Avoid multiple freeze-thaw cycles.
- 克隆性:
Polyclonal
- 标记物:
Unconjugated
- 适应物种:
Human, Mouse, Rat, Monkey, Fish
- 保质期:
12 months from the shipping date of the product.
- 抗原来源:
Mouse
- 目录编号:
GTX30114
- 级别:
Primary Antibodies
- 库存:
Available
- 供应商:
GeneTex
- 宿主:
Rabbit
- 应用范围:
WB, ICC/IF, IHC-P, IHC
- 浓度:
1 mg/ml (Please refer to the vial label for the specific concentration.)
- 靶点:
Specific for HIF-2 alpha/EPAS. Does not cross react with HIF-1 alpha.
- 抗体英文名:
HIF2 alpha antibody
- 抗体名:
HIF2 alpha 抗体
- 规格:
100 μl
HIF2 alpha antibody detects HIF2 alpha protein at nucleus by immunofluorescent analysis.
Sample: HeLa cells were fixed in 4% PFA at RT for 15 min.
Green: HIF2 alpha stained by HIF2 alpha antibody (GTX30114) diluted at 1:200.
Blue: Hoechst 33342 staining.
HIF2 alpha antibody detects HIF2 alpha protein at nucleus by immunofluorescent analysis.
Sample: NIH-3T3 cells were fixed in 4% PFA at RT for 15 min.
Green: HIF2 alpha stained by HIF2 alpha antibody (GTX30114) diluted at 1:200.
Blue: Hoechst 33342 staining.
GTX30114 utilized in western blot with PC12 nuclear extracts, 1:1,000, 5 second exposure.
Western Blot: HIF-2 alpha Antibody (GTX30114) - Analysis of HIF-2 alpha on Lane 1, Cobalt chloride treated COS7 nuclear extracts and Lane 2, Untreated COS7 nuclear extracts using GTX30114
HIF2 alpha antibody detects HIF2 alpha protein by western blot analysis. Un-treated (-) and treated (+, 0.01 O2 treatment for 24h) HepG2 whole cell extracts (30 μg) were separated by 7.5% SDS-PAGE, and the membrane was blotted with HIF2 alpha antibody (GTX30114) diluted by 1:500. The HRP-conjugated anti-rabbit IgG antibody (GTX213110-01) was used to detect the primary antibody.
Immunocytochemistry/Immunofluorescence: HIF-2 alpha Antibody (GTX30114) - Detection of HIF-2 Alpha (Green) in RCC4 cells using GTX30114. Nuclei (Blue) are counterstained with Hoechst 33258.
HIF2 alpha antibody detects HIF2 alpha protein by western blot analysis. Non-transfected (-) and HIF2A-transfected (+, including Myc-DDK-tag) 293T whole cell extracts (30 μg) were separated by 5% SDS-PAGE, and the membrane was blotted with HIF2 alpha antibody (GTX30114) diluted by 1:1000. The HRP-conjugated anti-rabbit IgG antibody (GTX213110-01) was used to detect the primary antibody.
Western Blot: HIF-2 alpha Antibody (GTX30114) - Analysis on normoxic and hypoxic nuclear rat cell lysates.
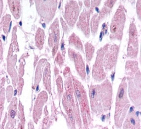
Immunohistochemistry: HIF-2 alpha Antibody (GTX30114) - Hif-2 alpha immunoreactivity in human cardiac myocytes
风险提示:丁香通仅作为第三方平台,为商家信息发布提供平台空间。用户咨询产品时请注意保护个人信息及财产安全,合理判断,谨慎选购商品,商家和用户对交易行为负责。对于医疗器械类产品,请先查证核实企业经营资质和医疗器械产品注册证情况。
- 作者
- 内容
- 询问日期
文献和实验Bobek J et al., Histochem Cell Biol 2019 (PMID:31520138)
Bin? L et al., Oncotarget 2017 (PMID:29137374)
Tatli D ogan H et al., Diagn Pathol 2018 (PMID:30144808)
Huang Y et al., Pulm Circ 2018 (PMID:29855254)
Bharti SK et al., Oncotarget 2018 (PMID:29632647)
Ramchandani D et al., Lab Invest 2016 (PMID:27721473)
Kudova J et al., J Pineal Res 2016 (PMID:27601067)
Smeyne M et al., Neuroscience 2015 (PMID:25796140)
Sun W et al., Cell Death Dis 2014 (PMID:25010988)
Burke B et al., J Pathol 2002 (PMID:11793372)
Ohh M et al., Nat Cell Biol 2000 (PMID:10878807)
Shih HJ et al., Sci Rep 2021 (PMID:34824343)
Minuzzi LG et al., Cytokine 2021 (PMID:33010727)
Zhu S et al., J Agric Food Chem 2020 (PMID:32981311)
Hoefflin R et al., Nat Commun 2020 (PMID:32807776)
In situ hybridisation to alpha satellite sequences (chromosome specific)
Alpha satellite sequences, whilst highly repetitive, are specific to each individual chromosome. These sequences flank the centromeres and can present a target measured in megabases. In this protocol a biotin or digoxigenin labelled DNA
marrow. The prime suspect: an adhesion molecule called alpha2 integrin. The molecule showed increased expression on memory cells, and its ligand is predominantly expressed in bone marrow tissue. Also, when the researchers blocked alpha2 integrin
domesticus x Mus spretus] F1 DNA). In the analysis of the antibody bound (B) and unbound (U) fractions (right panel), the bands representing the maternal and paternal alleles are indicated.MATERIALS Reagents100-bp DNA step ladder (for duplex PCR
技术资料暂无技术资料 索取技术资料









