相关产品推荐更多 >
万千商家帮你免费找货
0 人在求购买到急需产品
- 详细信息
- 文献和实验
- 技术资料
- 免疫原:
Peptide: VLLSRKRRRQHGQC (aa1755-1767).This is the N-terminal sequence of the cleaved N intracellular domain (NICD).
- 亚型:
IgG
- 形态:
Liquid
- 保存条件:
Store as concentrated solution. Centrifuge briefly prior to opening vial. For short-term storage (1-2 weeks), store at 4℃. For long-term storage, aliquot and store at -20℃ or below. Avoid multiple freeze-thaw cycles.
- 克隆性:
Polyclonal
- 标记物:
Unconjugated
- 适应物种:
Human, Mouse, Rat
- 保质期:
12 months from the shipping date of the product.
- 抗原来源:
Human
- 目录编号:
GTX28925
- 级别:
Primary Antibodies
- 库存:
Available
- 供应商:
GeneTex
- 宿主:
Rabbit
- 应用范围:
WB, ICC/IF, IHC-P, ELISA, Neutralizing/Inhibition
- 浓度:
78 mg/ml(Please refer to the vial label for the specific concentration.)
- 靶点:
NOTCH1
- 抗体英文名:
NOTCH1 antibody
- 抗体名:
NOTCH1 抗体
- 规格:
100 μl
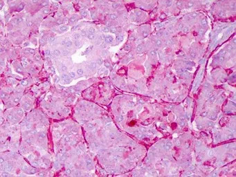
IHC-P analysis of exocrine glands of human pancreas using Rabbit anti-Notch1 antibody (GTX28925) at a dilution of 1:200. Staining: moderate to strong membranous staining and faint to moderate cytoplasmic staining. Islets showed faint staining.
Western Blot of Rabbit anti-Notch1 antibody (GTX28925). Lane 1: MCF-7 control lysate. Lane 2: MCF-7 +1 nM 17s-estradiol. Lane 3: MCF-7 + 10 μM gamma secretase inhibitor. Load: 35 μg per lane. Primary antibody: Notch1 antibody at 1:500 for overnight at 4ºC. Rabbit secondary antibody at 1:10,000 for 45 min at RT.Predicted/Observed size: 80 kDa for Notch1.
Rabbit anti-Human NOTCH 1 (Cleaved N Terminal) was used at a 1:500 dilution to detect mouse Notch 1 by Western blot in 293 cells transiently transfected with myc-tagged mouse Notch. Bound antibody was detected with a 1:10,000 dilution of HRP conjugated Goat anti Rabbit IgG, and color development. Lane M: markers. Lane 1: No transfection. Lane 2: N1 (mouse deleted extracellular domain)-myc. Lane 3: N1 (mouse intracellular domain)-myc. Lane 4: N2 (mouse deleted extracellular domain)-myc. Lane 5: N2 (mouse intracellular domain)-myc. Lane 6: N3 (mouse deleted extracellular domain)-myc. Lane 7: N3 (mouse intracellular domain)-myc. Lane 8: N4 (mouse deleted extracellular domain)-myc. Lane 9: N4 (mouse intracellular domain)-myc. Lane 10: N1 (mouse deleted extracellular domain)(V to G)-myc.
风险提示:丁香通仅作为第三方平台,为商家信息发布提供平台空间。用户咨询产品时请注意保护个人信息及财产安全,合理判断,谨慎选购商品,商家和用户对交易行为负责。对于医疗器械类产品,请先查证核实企业经营资质和医疗器械产品注册证情况。
文献和实验Liu Z et al., Mol Med Rep 2021 (PMID:33355365)
Nwabo Kamdje AH et al., Blood Cancer J 2012 (PMID:22829975)
Chu PW et al., Fertil Steril 2011 (PMID:21943726)
Cheng X et al., Development 2008 (PMID:18799543)
polo6892 请问哪个实验室的同学或是老师有Notch1质粒,有点朋友请和我联系下好吗?有事情咨询! 多谢!我的EMAIL :zhouwei5352877@163.com,QQ 286358161,我是武汉大学人民医院实验室的研究生! 谢谢! liudaifu1997 我也感兴趣,等 qinvicky 我们实验室做基因转染的,一直用N2质粒,不过我懂得不是很多~不知能否帮
Generation of Antibody Molecules Through Antibody Engineering
been overcome to a large extent using genetic-engineering techniques to produce chimeric mouse/human and completely human antibodies. Such an approach is particularly suitable because of the domain structure of the antibody molecule ( 2 ), where functional
The importance of antibody molecules was first recognized in the 1890s, when it was shown that immunity to tetanus and diphtheria was caused by antibodies against the bacterial exotoxins (1 ). Around the same time, it was shown that antisera
技术资料暂无技术资料 索取技术资料









