相关产品推荐更多 >
万千商家帮你免费找货
0 人在求购买到急需产品
- 详细信息
- 文献和实验
- 技术资料
- 免疫原:
Peptide: CNQRRNPENGGRRYNRIQHGQ (available as GTX29076)Region near the N-terminus of mouse Ang-1 (aa21-40).
- 亚型:
IgG
- 形态:
Liquid
- 保存条件:
Store as concentrated solution. Centrifuge briefly prior to opening vial. For short-term storage (1-2 weeks), store at 4ºC. For long-term storage, aliquot and store at -20ºC or below. Avoid multiple freeze-thaw cycles.
- 克隆性:
Polyclonal
- 标记物:
Unconjugated
- 适应物种:
Human, Mouse
- 保质期:
12 months from the shipping date of the product.
- 抗原来源:
Mouse
- 目录编号:
GTX28451
- 级别:
Primary Antibodies
- 库存:
Available
- 供应商:
GeneTex
- 宿主:
Rabbit
- 应用范围:
WB, IHC-P, ELISA
- 浓度:
80 mg/ml (Please refer to the vial label for the specific concentration.)
- 靶点:
This antibody is specific for mouse Angiopoietin 1 (mAng-1). Partially cross reactivity is noted with human angiopoietin 2.
- 抗体英文名:
Angiopoietin 1 antibody
- 抗体名:
Angiopoietin 1 抗体
- 规格:
100 μl
Rabbit anti-Ang-1 (GTX28451) was used at a 1:500 dilution to detect mouse Ang-1 by western blot against supernatants of mouse angiopoietin-expressing endothelial cells. Lane 1 - wt endothelial cells. Lane 2 - mouse Ang-1 (clone 1-8) expressing cells. Lane 3 - mouse Ang-1 (clone 1-15) expressing cells. Lane 4 - mouse Ang-2 (clone 2-9) expressing cells. Approximately 20 μg of each lysate was used for 10% SDS-PAGE.
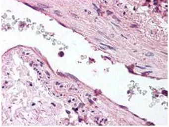
IHC-P of ANG1 antibody was diluted 1:500 to detect ANG1 in human lung tissue. The image shows the localization of antibody as the precipitated red signal, with a hematoxylin purple nuclear counter stain.
风险提示:丁香通仅作为第三方平台,为商家信息发布提供平台空间。用户咨询产品时请注意保护个人信息及财产安全,合理判断,谨慎选购商品,商家和用户对交易行为负责。对于医疗器械类产品,请先查证核实企业经营资质和医疗器械产品注册证情况。
文献和实验Chiang WC et al., Mol Med 2019 (PMID:30760202)
Sabirzhanov B et al., J Neurotrauma 2018 (PMID:29774773)
Sabirzhanov B et al., Cell Death Dis 2019 (PMID:31685802)
人血管生成素-1(Angiopoietin-1)ELISA试剂盒 说明书
上海西唐生物科技有限公司 021-55229872, 65333639 www.westang.com 人血管生成素-1 (Angiopoietin-1)ELISA 试剂盒 ( 用于血清、血浆、细胞培养上清液和其它生物体液内 ) 原理 本实验采用双抗体夹心 ABC-ELISA 法。用抗人 Angiopoietin-1 单抗包被于酶标板上,标准品和样品中的
人血管生成素-2(Angiopoietin-2)ELISA试剂盒 说明书
上海西唐生物科技有限公司 021-55229872, 65333639 www.westang.com 人血管生成素-2 (Angiopoietin-2)ELISA 试剂盒 ( 用于血清、血浆、细胞培养上清液和唾液等其它生物体液内 ) 原理 本实验采用双抗体夹心 ABC-ELISA 法。用抗人 Angiopoietin-2 单抗包被于酶标板上,标准品和样品中的
大鼠血管生成素-2(Angiopoietin-2)ELISA试剂盒 说明书
上海西唐生物科技有限公司 021-55229872, 65333639 www.westang.com 大鼠血管生成素 -2(Angiopoietin-2)ELISA 试剂盒 ( 用于血清、血浆、细胞培养上清液和等其它生物体液内 ) 原理 本实验采用双抗体夹心 ABC-ELISA 法。用抗大鼠 Angiopoietin-2 单抗包被于酶标板上,标准品和样品中的 Angiopoietin-2 与单抗结合
技术资料暂无技术资料 索取技术资料









