相关产品推荐更多 >
万千商家帮你免费找货
0 人在求购买到急需产品
- 详细信息
- 文献和实验
- 技术资料
- 免疫原:
Synthetic peptide corresponding to aa 181-199 at the C-terminus of human RAIDD (accession no. AAB42217).
- 亚型:
IgG
- 形态:
Liquid
- 保存条件:
Store as concentrated solution. Centrifuge briefly prior to opening vial. For short-term storage (1-2 weeks), store at 4ºC. For long-term storage, aliquot and store at -20ºC or below. Avoid multiple freeze-thaw cycles.
- 克隆性:
Polyclonal
- 标记物:
Unconjugated
- 适应物种:
Human
- 保质期:
12 months from the shipping date of the product.
- 抗原来源:
Human
- 目录编号:
GTX28425
- 级别:
Primary Antibodies
- 库存:
Available
- 供应商:
GeneTex
- 宿主:
Rabbit
- 应用范围:
WB, ICC/IF, IHC-P, ELISA
- 浓度:
Batch dependent (Please refer to the vial label for the specific concentration.)
- 靶点:
RAIDD
- 抗体英文名:
RAIDD antibody, C-term
- 抗体名:
RAIDD 抗体, C-term
- 规格:
100 μg
Western blot analysis of RAIDD in HeLa total cell lysate with Anti-RAIDD (CT) (Cat. No.GTX28425) at 1:500 dilution.
WB analysis of MCF7 total cell lysate using GTX28425 RAIDD antibody, C-term.
Dilution : 2 μg/ml
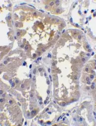
Immunohistochemical staining of RAIDD in human kidney with RAIDD antibody (GTX28425) at 10μg/ml.
ICC/IF analysis of HeLa cells using GTX28425 RAIDD antibody, C-term.
Green : Primary antibody
Blue : DAPI
Dilution : 20 μg/ml
ICC/IF analysis of HeLa cells using GTX28425 RAIDD antibody, C-term.
Dilution : 10 μg/ml
风险提示:丁香通仅作为第三方平台,为商家信息发布提供平台空间。用户咨询产品时请注意保护个人信息及财产安全,合理判断,谨慎选购商品,商家和用户对交易行为负责。对于医疗器械类产品,请先查证核实企业经营资质和医疗器械产品注册证情况。
文献和实验于研究。 性能参数 LIST OF ANTBODY PRODUCTS AP8401a BDP1 N-term Antibody AP8408b MEG2 C-term Antibody AP8451b PPP3CA C-term Antibody AP8449b CTDSP1 C-term Antibody AP8408a MEG2 N-term Antibody AP8451a PPP3CA N-term Antibody AP8449
【资源】全面归类网址:毕赤酵母表达各种来源蛋白(细菌,真菌,植物,人类等)
europaea (olive tree) aeroallergen Ole e 1S, 60 mg/L, α-MF[115, 334, 391]Olea europaea 1,3-β-glucanase Ole e 9 C-term.seg.S, 100 mg/L, α-MF, active486Oleaceae sp. (lilac and privet) pollen allergensS, 30 mg/L, reactive481Pepper endo-b-1,4-glucanase cCel1S
技术资料暂无技术资料 索取技术资料






![Wnt10a antibody [N1C1-2]](https://img1.dxycdn.com/2023/0516/050/2572066211091928561-14.jpg!wh200)



