相关产品推荐更多 >
万千商家帮你免费找货
0 人在求购买到急需产品
- 详细信息
- 文献和实验
- 技术资料
- 免疫原:
Human C-peptide conjugated to bovine serum albumin.
- 亚型:
IgG1
- 形态:
Liquid
- 保存条件:
Store as concentrated solution. Centrifuge briefly prior to opening vial. Store at 4ºC. DO NOT FREEZE.
- 克隆性:
Monoclonal
- 标记物:
Unconjugated
- 适应物种:
Human
- 保质期:
12 months from the shipping date of the product.
- 抗原来源:
Human
- 目录编号:
GTX27761
- 级别:
Primary Antibodies
- 库存:
Available
- 供应商:
GeneTex
- 宿主:
Mouse
- 应用范围:
ICC/IF, IHC-P, ELISA, RIA
- 浓度:
1 mg/ml (Please refer to the vial label for the specific concentration.)
- 靶点:
This antibody reacts specifically with C-peptide, No cross-reactivity with Insulin or other peptide hormones or proteins was observed.
- 抗体英文名:
C-Peptide antibody [C-PEP-01]
- 抗体名:
C-Peptide 抗体 [C-PEP-01]
- 规格:
100 μg
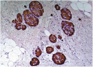
IHC-P analysis of human pancreas tissue using GTX27761 C-Peptide antibody [C-PEP-01].
风险提示:丁香通仅作为第三方平台,为商家信息发布提供平台空间。用户咨询产品时请注意保护个人信息及财产安全,合理判断,谨慎选购商品,商家和用户对交易行为负责。对于医疗器械类产品,请先查证核实企业经营资质和医疗器械产品注册证情况。
文献和实验Mihara Y et al., J Tissue Eng Regen Med 2017 (PMID:28317340)
上海西唐生物科技有限公司 021-55229872, 65333639 www.westang.com 大鼠 C- 肽 (C-peptide)ELISA 试剂盒 ( 用于血清、血浆、细胞培养上清液和生物体液内 ) 原理 本实验采用双抗体夹心 ABC-ELISA 法。用抗大鼠 C-peptide 单抗包被于酶标板上,标准品和样品中的 C-peptide 与单抗结合,加入生物素化的抗大
上海西唐生物科技有限公司 021-55229872, 65333639 www.westang.com 小鼠C- 肽 ( C-peptide )ELISA 试剂盒 ( 用于血清、血浆、细胞培养上清液和生物体液内 ) 原理 本实验采用双抗体夹心 ABC-ELISA 法。用抗小鼠 C-peptide 单抗包被于酶标板上,标准品和样品中的 C-peptide与单抗结合
问:BAF cell的来源是什么?有什么特性和用途呢?答:ATCC上没有你所谓的BAF cell,DSMZ上有两种BAF cell,如下:Cell line:BA-F8Cell type:mouse hybridoma(anti-rat fiber/myosin)Origin:this hybridoma cell line was described to secrete a mouse monoclonal antibody(IgG2b)that reacts with rat type
技术资料暂无技术资料 索取技术资料





![beta Tubulin 3/ Tuj1 antibody [5H2]](https://img1.dxycdn.com/2023/0711/451/6106825198874858761-14.jpg!wh200)




