相关产品推荐更多 >
万千商家帮你免费找货
0 人在求购买到急需产品
- 详细信息
- 文献和实验
- 技术资料
- 免疫原:
The antiserum was produced against a chemically synthesized phosphopeptide derived from the region of human Pyk2 that contains tyrosines 579 and 580. The sequence is conserved in mouse and rat.
- 亚型:
IgG
- 形态:
Liquid
- 保存条件:
Store as concentrated solution. Centrifuge briefly prior to opening vial. For short-term storage (1-2 weeks), store at 4ºC. For long-term storage, aliquot and store at -20ºC or below. Avoid multiple freeze-thaw cycles.
- 克隆性:
Polyclonal
- 标记物:
Unconjugated
- 适应物种:
Human, Mouse, Rat
- 保质期:
12 months from the shipping date of the product.
- 抗原来源:
Human
- 目录编号:
GTX24807
- 级别:
Primary Antibodies
- 库存:
Available
- 供应商:
GeneTex
- 宿主:
Rabbit
- 应用范围:
WB, ICC/IF, IHC-P, FACS, IP
- 浓度:
Batch dependent (Please refer to the vial label for the specific concentration.)
- 靶点:
Some cross-reactivity still may be experienced in cases where Focal Adhesion Kinase is overexpressed relative to PYK 2 within the same cell system.
- 抗体英文名:
PYK2 (phospho Tyr579/Tyr580) antibody
- 抗体名:
PYK2 (phospho Tyr579/Tyr580) 抗体
- 规格:
50 μl
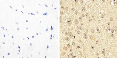
IHC-P analysis of human brain tissue using GTX24807 PYK2 (phospho Tyr579/Tyr580) antibody.
Right : Primary antibody
Left : Negative control without primary antibody
Antigen retrieval : 10mM sodium citrate (pH 6.0), microwaved for 8-15 min
Dilution : 1:20
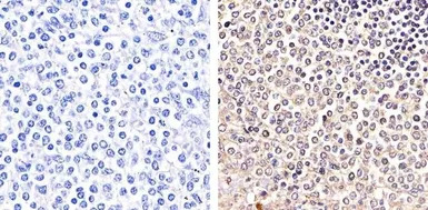
IHC-P analysis of human spleen tissue using GTX24807 PYK2 (phospho Tyr579/Tyr580) antibody.
Right : Primary antibody
Left : Negative control without primary antibody
Antigen retrieval : 10mM sodium citrate (pH 6.0), microwaved for 8-15 min
Dilution : 1:20
ICC/IF analysis of A549 cells treated with 50ng of PDGF for 10 minutes using GTX24807 PYK2 (phospho Tyr579/Tyr580) antibody. Panel e is untreated cell with no signal. Panel f is a no primary antibody control.
Green : Primary antibody
Blue : Nuclei
Red : Actin
Fixation : 4% PFA
Permeabilization : 0.1% Triton X-100 for 10 minutes
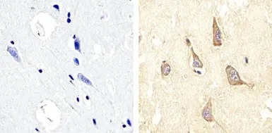
IHC-P analysis of mouse brain tissue using GTX24807 PYK2 (phospho Tyr579/Tyr580) antibody.
Right : Primary antibody
Left : Negative control without primary antibody
Antigen retrieval : 10mM sodium citrate (pH 6.0), microwaved for 8-15 min
Dilution : 1:20
风险提示:丁香通仅作为第三方平台,为商家信息发布提供平台空间。用户咨询产品时请注意保护个人信息及财产安全,合理判断,谨慎选购商品,商家和用户对交易行为负责。对于医疗器械类产品,请先查证核实企业经营资质和医疗器械产品注册证情况。
文献和实验Using Phospho‐Motif Antibodies to Determine Kinase Substrates
comprising both the phosphorylated residue and the surrounding residues that determine kinase specificity, with degenerate residues taking up the remaining positions. Currently, several categories of phospho?motif antibody are commercially available
运用Cell Based Elisa检测信号通路蛋白和磷酸化蛋白
using Phospho-p38 antibody (A) and Total-p38 antibody (B). Cell Based Elisa were performed directly in the 96-well plates using Phospho-p38 and Total-p38 antibodies (C). Figure 3: JNK detection with FACECells were serum-starved for 16 hours
Optimized Protocol to Make Phospho-Specific Antibodies that Work
, not simply its level of expression. In this review, we will discuss both the design of the phosphopeptide immunogen and immunization. The affinity purification of the phospho-specific antibody as well as the methods most suitable for characterizing
技术资料暂无技术资料 索取技术资料





![FOXL2 antibody [C3], C-term](https://img1.dxycdn.com/2023/0516/895/8887749495766728561-14.jpg!wh200)

![Rab25 antibody [3F12]](https://img1.dxycdn.com/2023/0711/451/6106825198874858761-14.jpg!wh200)



