相关产品推荐更多 >
万千商家帮你免费找货
0 人在求购买到急需产品
- 详细信息
- 文献和实验
- 技术资料
- 免疫原:
Purified recombinant fragment of human Ring1 (AA: 79-263) expressed in E. Coli.
- 亚型:
IgG1
- 形态:
Liquid
- 保存条件:
Store as concentrated solution. Centrifuge briefly prior to opening vial. For short-term storage (1-2 weeks), store at 4ºC. For long-term storage, aliquot and store at -20ºC or below. Avoid multiple freeze-thaw cycles.
- 克隆性:
Monoclonal
- 标记物:
Unconjugated
- 适应物种:
Human
- 保质期:
12 months from the shipping date of the product.
- 抗原来源:
Human
- 目录编号:
GTX60753
- 级别:
Primary Antibodies
- 库存:
Available
- 供应商:
GeneTex
- 宿主:
Mouse
- 应用范围:
WB, IHC-P, FACS, ELISA
- 浓度:
1 mg/ml (Please refer to the vial label for the specific concentration.)
- 靶点:
Ring1
- 抗体英文名:
Ring1 antibody [8C12F4]
- 抗体名:
Ring1 抗体 [8C12F4]
- 规格:
100 μg
WB analysis of HEK293 (1) and Ring1 (AA: 79-263)-hIgGFc transfected HEK293 (2) cell lysate using GTX60753 Ring1 antibody [8C12F4].
FACS analysis of HeLa cells using GTX60753 Ring1 antibody [8C12F4].
Green : Ring1
Red : negative control
ELISA analysis of antigen using GTX60753 Ring1 antibody [8C12F4].
Black : Control antigen 100ng
Purple : Antigen 10ng
Blue : Antigen 50ng
Red : Antigen 100ng
WB analysis of MOLT-4 (1), LNCaP (2), HeLa (3), HEK-293 (4) and Jurkat (5) cell lysate using GTX60753 Ring1 antibody [8C12F4].
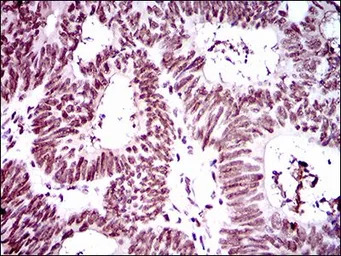
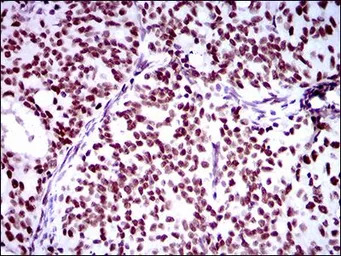
IHC-P analysis of rectum cancer tissue using GTX60753 Ring1 antibody [8C12F4].
IHC-P analysis of cervical cancer tissue using GTX60753 Ring1 antibody [8C12F4].
风险提示:丁香通仅作为第三方平台,为商家信息发布提供平台空间。用户咨询产品时请注意保护个人信息及财产安全,合理判断,谨慎选购商品,商家和用户对交易行为负责。对于医疗器械类产品,请先查证核实企业经营资质和医疗器械产品注册证情况。
文献和实验Intracellular Cytokine Staining Protocol
anti-cytokine antibodies with excess amounts of unlabeled antibody. Alternatively, recombinant cytokines can be used for blocking.eBioscience antibodies are available as Functional Grade (FG) Purified (sterile, endotoxin-tested, no azide), Purified
secondary antibody were purchased from GIBCO-BRL. Phosphospecific rabbit polyclonal antibodies against 180Thr and 182Tyr dual-phosphorylated p38, against total p38 (phosphorylation state independent), against 204Tyr-phosphorylated ERK1/2 and against total
Intracellular Cytokine Staining Protocol
, it is common to block the directly-conjugated anti-cytokine antibodies with excess amounts of unlabeled antibody. Alternatively, recombinant cytokines can be used for blocking. eBioscience antibodies are available as Functional Grade (FG) Purified (sterile
技术资料暂无技术资料 索取技术资料








