相关产品推荐更多 >
万千商家帮你免费找货
0 人在求购买到急需产品
- 详细信息
- 文献和实验
- 技术资料
- 免疫原:
Immunoprecipitate obtained after immunodiffusion of MAb 19-9 and mucins isolated from an ovarian cyst of a 0Le(a+b-) patient.
- 亚型:
IgM
- 形态:
Liquid
- 保存条件:
Store as concentrated solution. Centrifuge briefly prior to opening vial. Store at 4ºC. DO NOT FREEZE.
- 克隆性:
Monoclonal
- 标记物:
Unconjugated
- 适应物种:
Human
- 保质期:
12 months from the shipping date of the product.
- 抗原来源:
Human
- 目录编号:
GTX23982
- 级别:
Primary Antibodies
- 库存:
Available
- 供应商:
GeneTex
- 宿主:
Mouse
- 应用范围:
IHC-P, ELISA
- 浓度:
1 mg/ml (Please refer to the vial label for the specific concentration.)
- 靶点:
This antibody recognizes Sialyl Lewis a containing glycolipids.
- 抗体英文名:
CA19-9 antibody [121SLE]
- 抗体名:
CA19-9 抗体 [121SLE]
- 规格:
100 μg
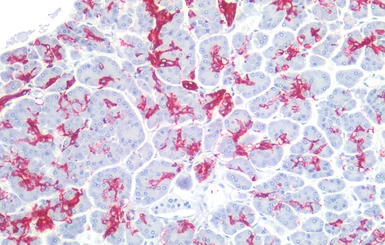
IHC-P analysis of human pancreas tissue using GTX23982 CA19-9 antibody [121SLE].
Diultion : 10μg/ml
IHC-P analysis of colorectal adenocarcinoma tissue using GTX23982 CA19-9 antibody [121SLE].
风险提示:丁香通仅作为第三方平台,为商家信息发布提供平台空间。用户咨询产品时请注意保护个人信息及财产安全,合理判断,谨慎选购商品,商家和用户对交易行为负责。对于医疗器械类产品,请先查证核实企业经营资质和医疗器械产品注册证情况。
文献和实验Ragupathi G et al., Cancer Immunol Immunother 2009 (PMID:19190907)
Sawada R et al., Clin Cancer Res 2011 (PMID:21343375)
Recombinant Antibody Microarray for Profiling the Serum Proteome of SLE
Systemic lupus erythematosus (SLE) is a severe autoimmune connective tissue disease. Our current knowledge about the serum proteome, or serum biomarker panels, reflecting disease and disease status is still very limited. Affinity proteomics
Detection of Antinuclear Antibodies in SLE
The antinuclear antibodies (ANA) also known as antinuclear factors (ANF) are unwanted molecules which bind and destroy certain structures within the nucleus. In systemic lupus erythematosus (SLE), they are produced in excess
.Anticyclophilin autoantibodies were found in 48% of the SLE patients. The positive rate of IgG, IgA and IgM anti-cyclophilin A antibody is 36%, 20% and 18%, respectively. The prevelance of antibodies to CyPA in patients with skin and mucous lesion, leukopenia
技术资料暂无技术资料 索取技术资料






![MKLP1 antibody [N1N2], N-term](https://img1.dxycdn.com/2023/0711/255/2344116916935858761-14.jpg!wh200)
![GP2 antibody [GP2/3134R]](https://img1.dxycdn.com/2023/0711/451/6106825198874858761-14.jpg!wh200)
