相关产品推荐更多 >
万千商家帮你免费找货
0 人在求购买到急需产品
- 详细信息
- 文献和实验
- 技术资料
- 免疫原:
Recombinant full-length human TOP1MT protein
- 亚型:
IgG2b
- 形态:
Liquid
- 保存条件:
Store as concentrated solution. Centrifuge briefly prior to opening vial. For short-term storage (1-2 weeks), store at 4ºC. For long-term storage, aliquot and store at -20ºC or below. Avoid multiple freeze-thaw cycles.
- 克隆性:
Monoclonal
- 标记物:
Unconjugated
- 适应物种:
Human
- 保质期:
12 months from the shipping date of the product.
- 抗原来源:
Human
- 目录编号:
GTX35136
- 级别:
Primary Antibodies
- 库存:
Available
- 供应商:
GeneTex
- 宿主:
Mouse
- 应用范围:
WB, ICC/IF, IHC-P, FACS
- 浓度:
0.2 mg/ml (Please refer to the vial label for the specific concentration.)
- 靶点:
TOP1MT
- 抗体英文名:
TOP1MT antibody [TOP1MT/488]
- 抗体名:
TOP1MT 抗体 [TOP1MT/488]
- 规格:
100 μg
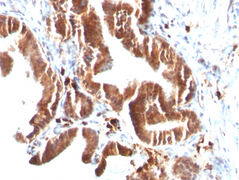
IHC-P analysis of human gallbladder tissue using GTX35136 TOP1MT antibody [TOP1MT/488].
WB analysis of Jurkat cell lysate using GTX35136 TOP1MT antibody [TOP1MT/488].
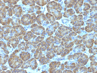
IHC-P analysis of human pancreas tissue using GTX35136 TOP1MT antibody [TOP1MT/488].
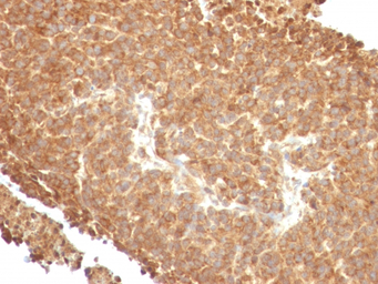
IHC-P analysis of human melanoma tissue using GTX35136 TOP1MT antibody [TOP1MT/488].
FACS analysis of PFA-fixed MCF-7 cells using GTX35136 TOP1MT antibody [TOP1MT/488].
Blue : Primary antibody
Red : Isotype control
风险提示:丁香通仅作为第三方平台,为商家信息发布提供平台空间。用户咨询产品时请注意保护个人信息及财产安全,合理判断,谨慎选购商品,商家和用户对交易行为负责。对于医疗器械类产品,请先查证核实企业经营资质和医疗器械产品注册证情况。
文献和实验secondary antibody review -- data from 99 publications
cytometry used as a control to detect cell responses targeted antigen 7 Alexa Fluor 488 7 Cy3 8 goat IgG Alexa Fluor 488 1:2000 detect antibody binding in human embryonic kidney 293T cells Invitrogen 9 donkey
一、文献 1. Chen, H.H., J. Lebon, and A.D. Riggs, Analysis of RNA structure and RNA-protein interactions in mammalian cells by use of terminal transferase-dependent PCR. Methods Mol Biol, 2008. 488: p. 319-41. 2. Terzi, L.C. and G.G. Simpson
to 1 hour Wash twice with 10% FBS/DMEM:F12 Resuspend in 100μl of 10% FBS/DMEM:F12 containing secondary antibody (AlexaFluor 488 conjugate) at 1:100 Incubate for 30min Wash twice with 10% FBS/DMEM:F12 Resuspend in appropriate
技术资料暂无技术资料 索取技术资料





![MTIF3 antibody [N1C2]](https://img1.dxycdn.com/2023/0516/050/2572066211091928561-14.jpg!wh200)
![PAPP A antibody [PAPP A 1-1]](https://img1.dxycdn.com/2023/0711/451/6106825198874858761-14.jpg!wh200)

