相关产品推荐更多 >
万千商家帮你免费找货
0 人在求购买到急需产品
- 详细信息
- 文献和实验
- 技术资料
- 免疫原:
BALB/C mice were injected with recombinant protein containing rat myogenin amino acid 30-224.
- 亚型:
IgG1
- 形态:
Liquid
- 保存条件:
Store as concentrated solution. Centrifuge briefly prior to opening vial. Store at 4ºC.
- 克隆性:
Monoclonal
- 标记物:
Unconjugated
- 适应物种:
Human, Mouse, Rat
- 保质期:
12 months from the shipping date of the product.
- 抗原来源:
Rat
- 目录编号:
GTX21835
- 级别:
Primary Antibodies
- 库存:
Available
- 供应商:
GeneTex
- 宿主:
Mouse
- 应用范围:
WB, IHC-P
- 靶点:
Myogenin
- 抗体英文名:
Myogenin antibody [F5D]
- 抗体名:
Myogenin 抗体 [F5D]
- 规格:
500 μl
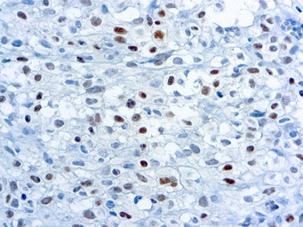
IHC-P analysis of human rhabdomyosarcoma tissue using GTX21835 Myogenin antibody [F5D].
风险提示:丁香通仅作为第三方平台,为商家信息发布提供平台空间。用户咨询产品时请注意保护个人信息及财产安全,合理判断,谨慎选购商品,商家和用户对交易行为负责。对于医疗器械类产品,请先查证核实企业经营资质和医疗器械产品注册证情况。
文献和实验该产品被引用文献
Application Reference
Nedachi T et al., Am J Physiol Endocrinol Metab 2006 (PMID:16735448)
Peck GR et al., J Biol Chem 2009 (PMID:19740738)
Nguyen NU et al., PLoS One 2015 (PMID:25875253)
Kaur K et al., Cell Reprogram 2014 (PMID:25090621)
Nedachi T et al., Am J Physiol Endocrinol Metab 2006 (PMID:16735448)
Peck GR et al., J Biol Chem 2009 (PMID:19740738)
Nguyen NU et al., PLoS One 2015 (PMID:25875253)
Kaur K et al., Cell Reprogram 2014 (PMID:25090621)
技术资料暂无技术资料 索取技术资料
文献支持
Myogenin antibody [F5D]
¥6200






![N-Cadherin antibody [CDH2/1573]](https://img1.dxycdn.com/2023/0711/451/6106825198874858761-14.jpg!wh200)


