相关产品推荐更多 >
万千商家帮你免费找货
0 人在求购买到急需产品
- 详细信息
- 文献和实验
- 技术资料
- 免疫原:
IgM isolated from human serum of a patient.
- 亚型:
IgG
- 形态:
Liquid
- 保存条件:
Store as concentrated solution. Centrifuge briefly prior to opening vial. Store at 4ºC.
- 克隆性:
Polyclonal
- 标记物:
Unconjugated
- 适应物种:
Human
- 保质期:
12 months from the shipping date of the product.
- 抗原来源:
Human
- 目录编号:
GTX17150
- 级别:
Secondary Antibodies
- 库存:
Available
- 供应商:
GeneTex
- 宿主:
Rabbit
- 应用范围:
IHC-P
- 浓度:
Batch dependent (Please refer to the vial label for the specific concentration.)
- 靶点:
This antibody reacts with the mu-chains of human IgM. Nonspecific antibodies have been removed by solid-phase adsorption.
- 抗体英文名:
Rabbit Anti-Human IgM antibody
- 抗体名:
Rabbit Anti-Human IgM 抗体
- 规格:
1 ml
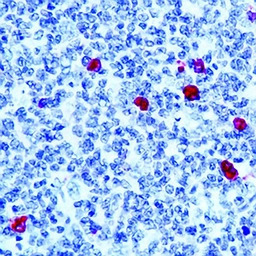
IHC-P analysis of human tonsil tissue using GTX17150 Human IgM antibody.
风险提示:丁香通仅作为第三方平台,为商家信息发布提供平台空间。用户咨询产品时请注意保护个人信息及财产安全,合理判断,谨慎选购商品,商家和用户对交易行为负责。对于医疗器械类产品,请先查证核实企业经营资质和医疗器械产品注册证情况。
文献和实验a simple ELISA method to detect human anti-antibody response.
Immunofluorescence: Rabbit Anti-Murine RELMα
for 25 minutes. 3. Incubate the tissue section with blocking buffer for 20 minutes. 4. Incubate the tissue section overnight at 4?C with Rabbit Anti-Murine RELMα at 4.0 ng/mL in 1X PBS with 0.01% Triton-X and 0.5% BSA. Wash the slide
Anticardiolipin Antibody and Anti-beta 2 Glycoprotein I Antibody Assays
standard” laboratory test to diagnose or classify a patient as having APS. This chapter discusses the clinical and laboratory theoretical and technical aspects of aCL and anti-β2GPI antibody assays.
技术资料暂无技术资料 索取技术资料







