相关产品推荐更多 >
万千商家帮你免费找货
0 人在求购买到急需产品
- 详细信息
- 文献和实验
- 技术资料
- 免疫原:
BALB/C mice were immunized with purified desmin from human muscle.
- 亚型:
IgG1
- 形态:
Liquid
- 保存条件:
Store as concentrated solution. Centrifuge briefly prior to opening vial. Store at 4ºC.
- 克隆性:
Monoclonal
- 标记物:
Unconjugated
- 适应物种:
Human
- 保质期:
12 months from the shipping date of the product.
- 抗原来源:
Human
- 目录编号:
GTX17156
- 级别:
Primary Antibodies
- 库存:
Available
- 供应商:
GeneTex
- 宿主:
Mouse
- 应用范围:
IHC-P
- 浓度:
Batch dependent (Please refer to the vial label for the specific concentration.)
- 靶点:
Desmin
- 抗体英文名:
Desmin antibody [D33]
- 抗体名:
Desmin 抗体 [D33]
- 规格:
1 ml
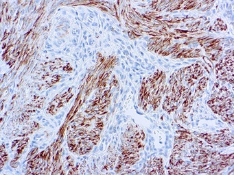
IHC-P analysis of human leiomyoma tissue using GTX17156 Desmin antibody [D33].
风险提示:丁香通仅作为第三方平台,为商家信息发布提供平台空间。用户咨询产品时请注意保护个人信息及财产安全,合理判断,谨慎选购商品,商家和用户对交易行为负责。对于医疗器械类产品,请先查证核实企业经营资质和医疗器械产品注册证情况。
文献和实验上海西唐生物科技有限公司 021-55229872, 65333639 www.westang.com 人结蛋白 ( Desmin )ELISA 试剂盒 ( 用于血清、血浆、细胞培养上清液和其它生物体液内 ) 原理 本实验采用双抗体夹心 ABC-ELISA 法。用抗人Desmin 单抗包被于酶标板上,标准品和样品中的 Desmin与单抗结合,加入生物素化的抗人 Desmin
&sty=1&tpg=36&age=0 [求助]请问desmin 和 ED-fibronectin抗体 http://www.dxy.cn/bbs/post/view?bid=65&id=5328061&sty=1&tpg=36&age=0 [求助]红细胞膜蛋白SDS-PAGE亮带??? http://www.dxy.cn/bbs/post/view?bid=65&id=5337903&sty=1&tpg=35&age=0 [求助]用Speed Vac真空离心浓缩仪 浓缩
Introduction to Atomic Force Microscopy (AFM) in Biology
). View Image Figure 17.7.9 (A ) Images after nanomanipulation of single desmin intermediate filaments. (B ) Typical lateral force
技术资料暂无技术资料 索取技术资料





![TSH antibody [057-11005]](https://custom.dxycdn.com/trademd/upload/pic/2011/12/14/1323695851.jpg!small.t.1)


![NuMA antibody [A73-B/D12]](https://img1.dxycdn.com/2023/0711/451/6106825198874858761-14.jpg!wh200)

